原因不明の肺炎
肺炎球菌・マイコプラズマ・クラミジア・レジオネラ・インフルエンザ・RSウイルス・hMPVについては迅速検査等を施行することにより、臨床症状・採血検査(CRP,WBC)・レントゲンの特徴と合わせて肺炎の原因診断をすることが可能です。
これらの検査で陰性の結果が出た場合は、検査機関に依頼して細菌培養(結核検査含)さらには悪性疾患等の鑑別診断をすることになりますが、最終的に原因がわからないままのことが少なくありません。それらの中にはインフルエンザ菌などの細菌、検査で拾いあげられなかったウイルス・マイコプラズマなどが含まれているものと推定されます。
ここにあげた原因不明の肺炎の多くは臨床経過・胸部レントゲンの特徴などから起因菌を想定して外来で治療可能ですが、原因が同定できないがゆえに治療の難しさがあり15人に1人程度の頻度で治療もしくは精査を目的として入院紹介になっていて、小規模の診療所における外来での肺炎治療の限界を痛感させられています。
提示した写真の詳細はこどもの病気・おとなの病気簡単解説の該当するぺ-ジを参照してください(例:unk9→肺炎原因不明(9))。
[1]
[2]
[3]
[4]
[5]
[6]
[7]
[8]
[9]
[10]
[11]
[12]
[13]
[14]
[15]
[16]
[17]
[18]
[19]
[20]
[21]
[22]
[23]
[24]
![[24]](https://www.otadragon.jp/cms/wp-content/uploads/2021/11/001-500x572.jpg)
円形様陰影・結節陰影が散在するため精査依頼→T-spot陽性
[25]
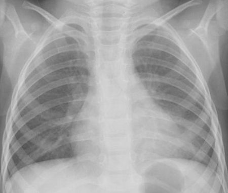
![[25]](https://www.otadragon.jp/cms/wp-content/uploads/2021/11/3fd90a5d1-500x554.jpg)
CRP 19.0 WBC 12,600 SPO2 92% 紹介入院
[26]
![[26]](https://www.otadragon.jp/cms/wp-content/uploads/2021/11/dcfe79de1_2.jpg)
hMPV感染時、CRP 8.9mg/dl WBC 15,000
[27]
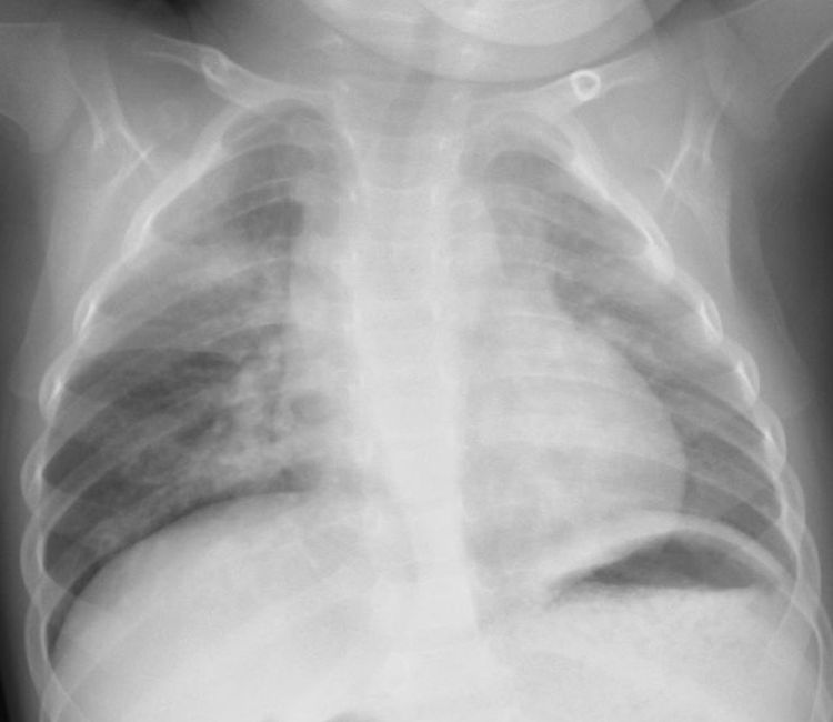
![[27]](https://www.otadragon.jp/cms/wp-content/uploads/2021/11/c35517111-500x383.jpg)
hMPV感染時、CRP 9.1mg/dl WBC 26,200
[28]
[29]
![[29]](https://www.otadragon.jp/cms/wp-content/uploads/2021/11/ukkt-500x410.jpg)
CRP1.8mg/dl WBC 19,700 肺炎球菌尿中抗原(-)・イムノカードマイコ(-) CTRX 有効
[30]
[31]
![[31]](https://www.otadragon.jp/cms/wp-content/uploads/2021/11/ukearly-500x438.jpg)
CRP 1.9mg/dl WBC 13,100 尿中肺炎球菌抗原陰性
[32]
![[32]](https://www.otadragon.jp/cms/wp-content/uploads/2021/11/ukm-500x633.jpg)
CRP0.9mg/dl WBC 5,500
[33]
![[33]](https://www.otadragon.jp/cms/wp-content/uploads/2021/11/ukf-500x600.jpg)
CRP 2.0mg/dl WBC 6,600
[34]
![[34]](https://www.otadragon.jp/cms/wp-content/uploads/2021/11/abo-500x590.jpg)
自然気胸で2回手術既往
[35]
![[35]](https://www.otadragon.jp/cms/wp-content/uploads/2021/11/abr-500x511.jpg)
リュ-マトレックス服用+シムジア(1/4w)
[36]
[37]
![[37]](https://www.otadragon.jp/cms/wp-content/uploads/2021/11/uknov21-500x527.jpg)
CRP 16.6mg/dl WBC 7,100 イムノカ-ドマイコ陰性、尿中肺炎球菌抗原陰性
[38]
![[38]](https://www.otadragon.jp/cms/wp-content/uploads/2021/11/ukmo-500x442.jpg)
CRP 10.6 mg/d WBC 17,800 CTRX有効
[39]
![[39]](https://www.otadragon.jp/cms/wp-content/uploads/2021/11/ukma-500x518.jpg)
CRP 22.8mg/dl WBC 11,800 入院紹介
[40]
![[40]](https://www.otadragon.jp/cms/wp-content/uploads/2021/11/ukrs-500x433.jpg)
RSウイルス感染症に合併
[41]
![[41]](https://www.otadragon.jp/cms/wp-content/uploads/2021/11/uki-500x591.jpg)
1年前マイコ既往
[42]
![[42]](https://www.otadragon.jp/cms/wp-content/uploads/2021/11/ukn-500x500.jpg)
気管支喘息がありアドエア継続使用中
[43]
![[43]](https://www.otadragon.jp/cms/wp-content/uploads/2021/11/afinfa-500x518.jpg)
インフルエンザA罹患中5日目、CRP 11.0mg/dl WBC 18,800
[44]
![[44]](https://www.otadragon.jp/cms/wp-content/uploads/2021/11/imageoutukana1_2-500x469.jpg)
WBC 21,600 CRP 8.1mg/dl CTRX 有効
[45]
![[45]](https://www.otadragon.jp/cms/wp-content/uploads/2021/11/464cf0bf1-500x519.jpg)
CRP2.3mg/dl WBC 9,400 SPO2 97%基礎疾患あるため入院紹介
[46]
![[46]](https://www.otadragon.jp/cms/wp-content/uploads/2021/11/ukn-1-500x427.jpg)
CRP 8.1 mg/dl WBC 12,400 ジェニナック5日間にて回復
[47]
![[47]](https://www.otadragon.jp/cms/wp-content/uploads/2021/11/ukvirus-500x352.jpg)
1歳児、CRP 0.3mg hMPV・RSVともに陰性、発熱と喘鳴あり
[48]
![[48]](https://www.otadragon.jp/cms/wp-content/uploads/2021/11/uklnfsus-500x442.jpg)
CRP 18.7mg/dl WBC 9,700 CTRX 2g/day にて著効
[49]
![[49]](https://www.otadragon.jp/cms/wp-content/uploads/2021/11/imageoutukw-500x516.jpg)
CRP 7.4mg/dl WBC 8,500 CTRX+ジェニナック7日間にて治癒
[50]
![[50]](https://www.otadragon.jp/cms/wp-content/uploads/2021/11/ukpap.jpg)
CRP 0.2mg/dl WBC 5,200 ミノマイシン有効
[51]
![[51]](https://www.otadragon.jp/cms/wp-content/uploads/2021/11/imageoutcrp_2-500x406.jpg)
CRP 25.1mg/dl WBC 32,500 SPO2 98%→入院紹介
[52]
![[52]](https://www.otadragon.jp/cms/wp-content/uploads/2021/11/infabac.jpg)
インフルエンザAに併発, CRP 16.3mg/dl WBC 8,500→入院紹介
[53]
![[53]](https://www.otadragon.jp/cms/wp-content/uploads/2021/11/imageoutuktsu-500x541.jpg)
CRP 8.8mg/dl WBC 17,300
[54]
![[54]](https://www.otadragon.jp/cms/wp-content/uploads/2021/11/papy-500x553.jpg)
CRP6.4mg/dl WBC 20,200 イムノカードマイコ(+/-)
[55]
![[55]](https://www.otadragon.jp/cms/wp-content/uploads/2021/11/ukk-500x411.jpg)
CRP 7.5mg WBC 14,800 1y.o
[56]
![[56]](https://www.otadragon.jp/cms/wp-content/uploads/2021/11/ukm1-500x438.jpg)
CRP 22.1mg/dl WBC 12,000 SPO2 97% CTRX 2g 14日間にて治癒
[57]
![[57]](https://www.otadragon.jp/cms/wp-content/uploads/2021/11/uki-1-500x500.jpg)
CRP 10.7mg/dl WBC 22,700
[58]
![[58]](https://www.otadragon.jp/cms/wp-content/uploads/2021/11/hap-500x439.jpg)
CRP 7.7mg/dl WBC 4,700
[59]
![[59]](https://www.otadragon.jp/cms/wp-content/uploads/2021/11/ukbac-500x530.jpg)
CRP 17.2mg/dl WBC 21,500
[60]
![[60]](https://www.otadragon.jp/cms/wp-content/uploads/2021/11/infpf-500x479.jpg)
WBC 12,500 WBC 2.1mg/dl
[61]
[62]
![[62]](https://www.otadragon.jp/cms/wp-content/uploads/2021/11/old-500x506.jpg)
90歳SPO2 94% CRP 9.0 WBC 4,800
[63]
![[63]](https://www.otadragon.jp/cms/wp-content/uploads/2021/11/6-500x528.jpg)
CRP 8.4mg/dl WBC 10,000
[64]
![[64]](https://www.otadragon.jp/cms/wp-content/uploads/2021/11/uk-500x500.jpg)
CRP 26.5mg/dl WBC 13,100 入院紹介
[65]
![[65]](https://www.otadragon.jp/cms/wp-content/uploads/2021/11/imageoutgu-500x544.jpg)
CRP 1.7mg/dl WBC 9,000 ロセフィン有効
[66]
![[66]](https://www.otadragon.jp/cms/wp-content/uploads/2021/11/imageoutkos-500x472.jpg)
CRP 1.8mg/dl WBC 8,500 92yo 入院紹介
[67]
![[67]](https://www.otadragon.jp/cms/wp-content/uploads/2021/11/imageoutm3-500x544.jpg)
CRP 12.6mg/dl WBC 12,600
[68]
![[68]](https://www.otadragon.jp/cms/wp-content/uploads/2021/11/imageouttbm-500x577.jpg)
TB疑うも陰性(紹介)
[69]
![[69]](https://www.otadragon.jp/cms/wp-content/uploads/2021/11/s_2-500x423.jpg)
[68]の息子(紹介)
[70]
![[70]](https://www.otadragon.jp/cms/wp-content/uploads/2021/11/imageoutkanda2-500x500.jpg)
空洞形成、原因菌は不明
[71]
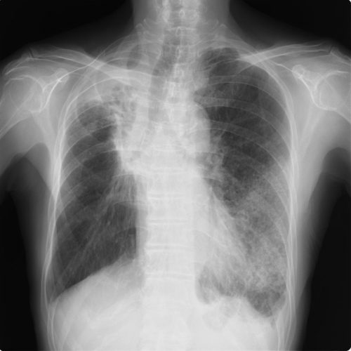
[72]
![[72]](https://www.otadragon.jp/cms/wp-content/uploads/2021/11/pnr17sep_20190920134201-500x450.jpg)
CRP 19.mg/dl WBC 9,800 SPO2 91% ロセフィン有効(4日間)