外来でみるウイルス性肺炎
新型コロナウイルス |RSウイルス | hMPVウイルス | インフルエンザA | インフルエンザB | アデノウイルス
【新型コロナウイルス】
[1]
![新型コロナウイルス[1]](https://www.otadragon.jp/cms/wp-content/uploads/2012/06/cov2-500x532.jpg)
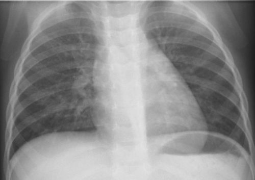
30代、高熱続き4日目酸素飽和度88%(COVID-19中等症)
[2]
![新型コロナウイルス[2]](https://www.otadragon.jp/cms/wp-content/uploads/2012/06/cov-500x519.jpg)
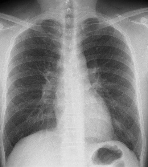
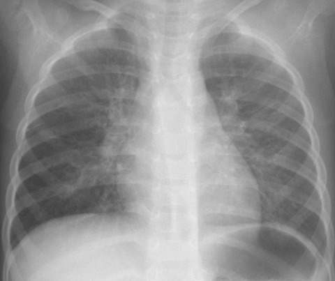
60代、微熱軽度の息苦しさ発病後7日目(COVID-19軽症)
[3]
![新型コロナウイルス[3]](https://www.otadragon.jp/cms/wp-content/uploads/2012/06/co-500x248.jpg)
[左] 感染2ヵ月後、ため息息苦しさ [右] 左写真から3週間後
[4]
![新型コロナウイルス[4]](https://www.otadragon.jp/cms/wp-content/uploads/2012/06/3f173eff.jpg)
新型コロナウイルス感染3週間後、左下肺野にすりガラス様陰影右肺野に粒状影の散布像をみとめる。
[5]
![新型コロナウイルス[5]](https://www.otadragon.jp/cms/wp-content/uploads/2012/06/1b5b32b9-500x468.jpg)
2月26日より3月5日まで新型コロナウイルスに感染したため自宅療養を続けた患者さんです。隔離解除後後も倦怠感・息切れ・咳・頭痛が続く為3月11日に来所しました。肩呼吸と胸部に水泡性ラ音があり胸部レントゲンにて横隔膜肋骨角に浸潤影をみとめ肺炎が続いている病状と診断、気管支拡張剤・鎮咳剤・去痰剤の対症的な治療にて3週間後ようやく改善しました。
[6]
![新型コロナウイルス[6]](https://www.otadragon.jp/cms/wp-content/uploads/2012/06/9d4be4b6-s.jpg)
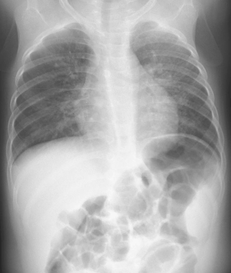
2月17日発熱にて受診、抗原検査陽性のため保健所に連絡10日間の自宅待機の指示をうけました。解除後も2週間以上咳が続いているため来所しました。胸部レントゲンにて左胸壁にそって浸潤影をみとめころな感染に伴う肺炎と診断、レスプレン・ムコダインの処方をして咳の軽減を図り治癒を待ちました。
[7]
![新型コロナウイルス[7]](https://www.otadragon.jp/cms/wp-content/uploads/2023/01/58b945b6-s.jpg)
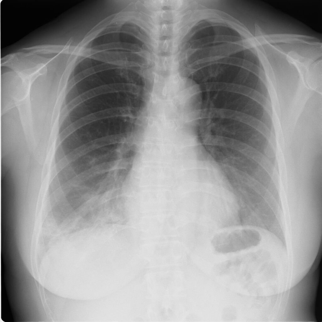
70代、感染後17日目、夜間の発熱継続、酸素飽和度 95%
[8]
![新型コロナウイルス[8]](https://www.otadragon.jp/cms/wp-content/uploads/2012/06/68667446-500x469.jpg)
WBC12,430/ mm3 CRP 17.4mg/dl
[9]

左肺野にスリガラス様陰影をみとめる肺炎の2症例、症例左は迅速抗原検査(COV-2)陰性抗体検査SERS-C-2 COI 陽性。右はCOV-2陽性。
[10]
【RSウイルス】
[1]
[2]
[3]
[4]
[5]
[6]
[7]
[8]
[9]
[10]
[11]
[12]
[13]
[14]
[15]
[16]
[17]
[18]
[19]
[20]
[21]
[22]
[23]
[24]
[25]
[26]
[27]
![RSウイルス[27]](https://www.otadragon.jp/cms/wp-content/uploads/2012/06/RSb82c406b-500x415.jpg)
RSウイルス肺炎1歳
[28]
【hMPVウイルス】
[1]
[2]
[3]
[4]
[5]
[6]
[7]
[8]
[9]
[10]
[11]
[12]
[13]
[14]
[15]
[16]
[17]
[18]
成人
【インフルエンザA】
[1]
[2]
[3]
[4]
[5]
[6]
[7]
[8]
[9]
[10]
[11]
[12]
[13]
[14]
![インフルエンザA[14]](https://www.otadragon.jp/cms/wp-content/uploads/2012/06/8e8d6350ad57d55d8972021daf39e34c-500x500.jpg)
インフルエンザA肺炎50歳
【インフルエンザB】
[1]
[2]
[3]
[4]
[5]
[6]
[7]
[8]
[9]
[10]
[11]
[12]
【アデノウイルス】
[1]
[2]
[3]
[4]