トップページ
診療所について
診療所概要
診療所のできごと
こどもの疾患
だれでもDr.
疾患メモ
発熱と脳炎・髄膜炎
こどものかぜと免疫
予防接種
こどものくすり
出席停止期間
乳児健診(10ヶ月)
乳児健診(1歳6ヶ月)
おとなの疾患
肺炎
高血圧
糖尿病
内視鏡検査
外来の疾患簡単解説
疾患図譜
使用薬品解説
疾患メモ
検査結果の読み方
胸部写真の読み方
かんがる通信
流行情報
胸部写真の読み方
ホーム
胸部写真の読み方
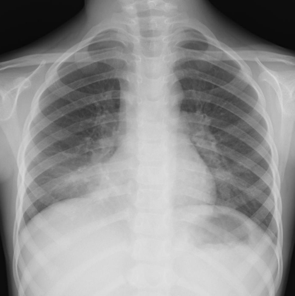
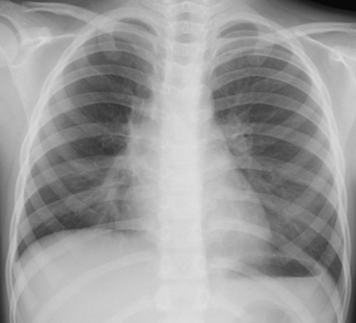
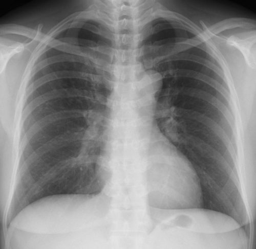
外来でみるクラミジア肺炎
外来でみるクラミジア肺炎
【クラミジア肺炎】
[1]
[2]
[3]
[4]
[5]
[6]
[7]
[8]
[9]
[10]
[11]
[12]
[13]
[14]
[15]
[16]
[17]
[18]
[19]
[20]
[21]
[22]
[23]
[24]
一覧に戻る