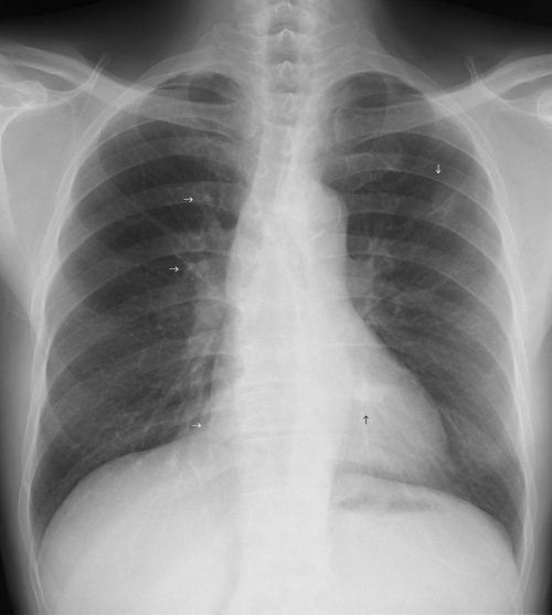
D.肺気腫(透過性亢進・過膨張)|E.肺癌(孤立性陰影)|F.縦隔腫瘍(後縦隔)
G.陳旧性結核(多発の孤立陰影、石灰化陰影)|H.胸水|I.気胸(自然気胸)
J.水腫|K.石灰化像|L.肺葉(右肺)切除後|M.放射線肺炎
A.正常像(成人) 読影のチェックポイント さらに詳細に読影 最低限の読影項目 以上を参考に実際に上の正常像を読影
①左右対称、適切な黒化度・コントラストで撮影されている。
②胸郭、横隔膜に異常みとめず正しく吸気位である。
③鎖骨、気管、縦隔、心陰影、脊椎(胸椎・頸椎)、大動脈弓、続く胸部大動脈は異常をみとめず。
④肺野は左右とも透過度は良好、肺門ならびに肺動脈、気管支の走行は正常。
⑤右上葉と中葉の葉間の葉間間裂の線状影がみられるが、肺の異常影は(孤立性陰影を含む)みとめられない。
⑥心陰影は右辺縁・左辺縁ともに正常、心拡大もみられない。
[評価] 撮影条件は良好、異常陰影等みられず正常のレントゲン像。
正常像(乳児) ①低年齢(0~3才)は線量、体位、吸気のタイミングが難しいが、比較的よく撮影されている。鎖骨がわずかに不対象、気管の位置が左にずれている。
②線量は適切で黒化度・コントラストとも良好。
③胸郭、横隔膜は正常、胃泡がやや大きい。
④縦隔陰影、頸椎・胸椎陰影は異常をみとめず。
⑤肺門部陰影に問題なく肺野は少し透過性が亢進した印象、左右下肺に肺紋理の増強があるようにみえる。
⑥心陰影は拡大もなく左右辺縁も問題ない。
[評価] 正確な正面像からずれて撮影されている。肺の含気が多く(細気管支炎様)、胃の空気像もやや拡大していて頻呼吸による空気嚥下が考えられる。概ね正常にみえるが、多少の問題点のあるレントゲン像になっている。
小児の1才以下、呼気の写真の判読は難しい。
[6か月呼気] 正常例 ①明らかに線量不足と含気不良でX腺の透過性が悪く、全体が白っぽくなっている。
②横隔膜の位置が第7肋骨の位置にあって十分な吸気位になっていない。
③右横隔膜が不鮮明になっているがシルエットサイン陽性としてよいのか判断できない。
④縦隔は拡大していて肺野に張り出し辺縁が波様にわずかにウェ-ブしていているがその上下は不鮮明になっていて胸腺とかろうじて診断できそうだ。気管の右への変位に注意すること。
⑤肺野は一見すりガラス様にみえるが線量の問題もあって判定不能。
[評価] 線量と呼吸が撮影に適さず情報が得にくいフィルムになっている。条件を変えて取り直すことも選択肢になる。
[6か月呼気] 正常例(高圧撮影・リスフォルムブレンデ使用)
1才以下の小児では十分な吸気で撮影することは難しい。
[ウイルス性肺炎] 呼気だが高圧にしてリスフォルムブレンデ使用下で撮影。 [ウイルス性肺炎] いずれも十分な吸気で撮影されていないため読影をむずかしくさせているが、左右肺野の透過性・肺尖部と横隔膜肋骨角の黒化度の差異・横隔膜のシルエットサインを手掛かりに間質性肺炎の変化(下写真右、左写真は治癒時点)を読影する。主気管支の変位は撮影時の体位や胸腺による圧迫(乳幼児)を念頭に置くこと。乳児では撮影条件が適切なフィルムは期待できないため、読影の知識をすべて動員して診断してゆくことになる。 [マイコプラズマ肺炎] 肺野が白く透過性不良だが右肺では正常な肺野と混在していて、この両肺野の黒化度の低下をスリガラス様陰影と判断可能になる。線量が適切でコントラストも良く読影に足るレントゲン写真になっている。 [呼気と吸気] マイコ肺炎を疑い胸部レントゲンを施行、(左)スリガラス様だが取り直すと(右)ほぼ正常に見える。乳幼児では激しく啼泣して暴れると正確な診断は不可能になる。 [肺炎球菌性肺炎] 啼泣時 ①ぼけた写真だが胸郭は比較的鮮明、横隔膜、左下肺野、左心辺縁が不鮮明で泣きじゃくったため、横隔膜を中心にピントの合わないレントゲンとなったと推定される。
②右上葉に浸潤影があり同時に左肺心辺縁が不鮮明になっていてシルエットサイン陽性と読み取ることが可能。
[評価] 呼吸が啼泣により小刻みに激しくなってぼけて不鮮明な写真になっているが、浸潤影はあると判定可能で、乳児の場合再検査のデメリットも考えて撮影をし直すことなく、気管支肺炎と診断して良いと考える。尿中肺炎球菌抗原が陽性だったことから肺炎球菌性肺炎と診断、この例のように取り直しすることなく開業の臨床の場では診断治療してゆくことが少なくない。
[RSウイルス感染症:細気管支炎] 喘鳴発作時撮影 ①線量不足で肺野の透過性不良をみとめ、肺炎と読むかどうかが問題になる。
②右肺は左肺に比してやや黒く見え、相対的に含気が多く細気管支炎を示唆している。
③胃泡の黒化度は通常肺野と同等かやや低い、この場合胃泡も透過性が悪く、線量が適切ではないことの証左になる。
④以上考慮すると、肺野のすりガラス様にみえる陰影は線量不足に起因していて肺炎には至っていないと考えられ、細気管支炎の状態と診断できる。
[マイコプラズマ肺炎] ①左肺の透過性不良をスリガラス様の所見と判断してよいかどうかがポイントになる。
②胃泡は比較的コントラス良く撮影されていて、左肺野の黒化度が胃泡より低くみえる(写真では白く)部位があり、線量や撮影体位を考慮に入れても、肺の間質性の変化として診断することができる。
[マイコプラズマ肺炎] ①心陰影内の濃淡の差異に注目する。
②胸部大動脈の左側辺縁か゜不鮮明で追うことができない。
③左肺門部には肺動脈等の血管では説明できない斑状用の陰影がある。
④大動脈のシルエットサイン陽性と判断すればS6の浸潤影と読影可能。
B.肺炎(大葉性肺炎、肺胞性肺炎)
(下挿入写真は成人の写真と同様の乳児例) ①写真は十分な吸気のもと左右対称で撮影されていて、陰影のコントラストもよく線量も適切な写真。
②胸郭の変形、縦隔の陰影に異常はないが主気管支が右に偏移してみえる。
③右上肺野から中肺野、正確には右上葉(S3・S2・S1)に多少の濃淡の 差はあるが、全体的に白い陰影(浸潤影)をみとめる。右心辺縁ははっきりみえていてシルエットサイン陰性。したがってS3の陰影は全体には及んでいないと考えられる。陰影の中に気管支の透亮像がみられ肺胞性の変化が主力と考えてよい。
④右肺にだけ注意がいっていると見逃しそうだが、左横隔膜肋骨の交わる部位(横隔膜肋骨角)(S9)付近にも淡い透過性不良の部位がみとめられる。輪状線状様・小斑点状にみえる陰影が混在して間質性の変化がある。
[評価] 細菌性肺炎、原因菌として肺炎球菌が推定される。
肺炎(小学生) ①撮影条件、撮影体位とも良い。
②横隔膜が胸椎の10番目にあり十分な吸気になっている。
③胸郭、中央の縦隔陰影、気管・右左気管支、心陰影とも異常はない。
④右上肺野、境界が不鮮明だが肺区域的にはS2からS1にかけて濃淡に多少差のある均等陰影(浸潤影)をみとめ、肺胞性の陰影と考える。左肺野には病的変化はみられない。
⑤線状影・網状影等の変化を示唆する所見はみとめられない。
[評価] 肺胞に浸潤のある肺胞性肺炎の所見、肺炎球菌性肺炎を考えるが陰影の辺縁がはっきりせずスリガラス様のためマイコプラズマによる肺炎を考慮する必要がある。
肺炎(幼児) ①撮影条件、撮影の体位は良好。
②胸郭・縦隔等中心の陰影は問題ない。
③右肺は異常をみとめないが左肺に透過性不良の白い陰影(浸潤影)がみとめられ、同時に左横隔膜が不鮮明(シルエットサイン)になっていて、病変の所在がS8中心の区域にあることを示している。
[評価] 肺胞性陰影を主体としたレントゲン像から細菌性肺炎、肺炎球菌性肺炎がもっとも考えられる。
肺炎(均等陰影) ①撮影条件(体位・線量)はとても良く、コントラストも申し分ない。
②胸郭・肋骨・横隔膜ならびに縦隔陰影・心陰影いずれも異常がみられず。
③右上肺野に均等な陰影(浸潤影)をみとめる。内部に黒く抜けた透亮像airbronchogram様の陰影をみとめる。
④均等影の上部の肺野(S1・S2)にも透過性不良をみとめる。
[評価] S2の無気肺を想定してしまいそうだが陰影の中にairbronchogram様陰影がみとめられ否定的、間質性変化を伴った肺胞性肺炎が考えられる。原因としては肺炎球菌・肺炎桿菌・マイコプラズマ等が鑑別の対称となる。
左下葉、横隔膜にシルエットして均等影をみとめる。胸水の有無ははっきりしないが、肺胞性陰影を呈していて、白血球20,000以上なら肺炎球菌性の肺炎が最も考えられる。マイコもしくはクラミジアにしては間質性の変化をみとめず否定的。
右中肺野、S4の区域に透過性不良もしくは浸潤影をみとめる。均等影とするには透過性があって、すりガラス様にみえる陰影のため肺胞性の変化が不完全か間質性の変化がある様にもみえる。ただしS4の区域に範囲が限定されることから肺胞性肺炎の初期がもっとも考えやすい。白血球数が20,000を超えていれば肺炎球菌性肺炎、10,000前後であればマイコ等が鑑別にあがるが、右肺S4以外の間質性変化はみとめないことから肺炎球菌性肺炎と考えて良いと思われる。
右横隔膜肋骨角付近の浸潤影と同時に、左横隔膜のシルエットサイン陽性に加えて横隔膜がやや平坦にみえること、左横隔膜肋骨角が鈍角になっていることに注目すると、肺炎胸膜炎に加えて少量の胸水貯留の可能性が指摘できる。
肺炎(気管支肺炎、間質性肺炎) ①撮影条件は良好、撮影体位はやや右前の斜位になっていて完全な正面像とは言い難い。
②鎖骨の写り方に左右差があるも、胸郭・肋骨には異常をみとめず。
③縦隔・心陰影ともに問題はないが左横隔膜に小三角にみえるひきつれあり。
④左肺は右肺に比較して透過性不良(容積も減少してみえる)、肺門部に浸潤影と同時に、中肺野から下肺野にかけて輪状影、線状影、小斑状影をみとめる。
⑤右下肺野にも小斑点状、線状影、輪状影が軽度あり。
[評価] 間質性の変化を主体とした気管支肺炎像、マイコプラズマ・クラミジア等の感染が想定される。
肺炎(気管支肺炎、間質性肺炎) ①線量は適切、呼吸もまずまず吸気位になっているがやや不対称で気管が右にずれている。
②胸郭・縦隔に異常はみられないか゜、胃内に不規則な陰影があり胃内容物を示唆。
③右下肺野、左肺に線状影を主体に軽度透過性の不良がみられる。
④左肺門部の陰影の増強と右上肺野の輪状にみえる間質性変化がある。
[評価] 間質性の軽度の変化を主体とした気管支肺炎、クラミジアもしくはマイコプラズマが原因と想定される。
[肺炎](気管支肺炎) ①撮影条件等まずまず。
②胸郭・肋骨・縦隔影ともに異常をみとめず。
③肺野は一見問題なくみえる。乳房により下肺野の透過性は低下している。
④心陰影・胸椎・大動脈の陰影をみると胸部大動脈左縁が第9肋骨の高さから下部が不鮮明で追うことができなくなっている。シルエットサイン陽性で肺区域 S10に浸潤影があることを示唆している。
⑤心陰影の中に均等影 様の陰影がみとめられ胃泡の中に及んでいる。
⑥横隔膜の中よりが左右ぼやけていてシルエットサイン陽性、S8にも透過性不良の間質性の陰影をみとめる。
[評価] S10に肺炎像、両下肺野にも間質性の陰影をみとめマイコブラズマ肺炎がもっとも考えられる。読影がやや難しく正常と判断する危険性がある。
[同様症例] 中央陰影、胸部大動脈を注目することにより見逃すことなく読影できる。
[肺炎](気管支肺炎) ①線量がわずかに不足してコントラストが低下したレントゲン像。
②頚部の位置がもう2~3椎体上まで撮れていると理想的。
③胸郭・縦隔陰影・気管から気管支陰影・心陰影はとくに所見をみとめず。
④横隔膜については右の肋骨横隔膜角がやや鈍、同時に左横隔膜中央1/3が不鮮明でシルエットサイン陽性。
⑤右下肺野にわずかに輪状影、左中~下肺野にかけて透過性不良とその中に輪状様。
線状様陰影がみられる。乳房の陰影と見分ける必要がある。
[評価] 細気管支炎・気管支肺炎像、マイコプラズマもしくはクラミジアによる肺炎のときによくみられる所見になっている。
[肺炎](気管支肺炎) ①撮影体位・線量等比較的良好に撮れている。
②胸郭・肋骨等問題はないが胸部肋骨の第11番目より下部も肺野をみることができる。
③縦隔の拡張等はみられず大動脈左縁もよく追うことが可能だが横隔膜に近くなると不鮮明になってシルエットサイン陽性。
④心陰影の内部に濃淡の差があり大動脈とシルエットしている区域に向かう不均一な3角形状の浸潤影を見つけることができる。
⑤右肺野は透過性が亢進、左は乳房陰影で透過性不良をみとめるが同時に小斑点状陰影が確認可能。
[評価] 間質性・肺胞性陰影が混在、マイコプラズマもしくはクラミジア感染による肺炎が最も可能性がある。縦隔陰影・心陰影を注意深く読めば肺炎の診断は容易。
[肺炎](すりガラス様陰影)(クラミジア肺炎) ①左下肺野のすりガラス様の透過性不良、左横隔膜の外側1/2と内側の心陰影に重なる部分が不鮮明でシルエットサイン陽性。
②右横隔膜の中央部分にもわずかに横隔膜とシルエットした不規則な陰浸潤影様の陰影がみられる。
③縦隔陰影をみると右気管支上に半球状の陰影をみとめる。
[評価] 典型的なすりガラス様の陰影をみとめ、左S8区域の間質性の変化を中心とした肺炎と診断可能で原因としてはマイコプラズマ・クラミジア・ウイルスなどが考えられる。左横隔膜内側のシルエットサインは肺の変化よりは心臓に付着している脂肪組織の可能性を考慮すべきで経過を追って胸部撮影をすることによって確認できる。また右気管支に接した結節様陰影はリンパ節とみえるが精査が必要。
[肺炎](肺胞性、間質性)マイコプラズマ肺炎 ①右肺野に上肺野・下肺野を中心に不規則な浸潤影と同時に線状影・索状影がみられ、その中に Tram line様の陰影をみとめる。
②左肺は概ね正常像、横隔膜中央部に引きつれた様な線状の陰影をみとめる。
[評価] 肺胞性間質性陰影が混在していてマイコプラズマ肺炎が最も考えられるが、クラミジア、ウイルス、インフルエンザ菌、結核、浸潤性の肺がんなどが鑑別としてあげられる。左横隔膜上の線状影は下副葉間裂に伴う変化と考えられる。
[気管支肺炎] 左下肺野に透過性不良(すりガラス様)微細斑点状線状陰影(tram line様にみえる部分あり)をみとめるが、乳房の陰影がかぶっていてすりガラス様陰影か乳房陰影かはっきりしないところがある。左横隔膜肋骨角の鈍化をみとめる。
[評価] 間質の変化を主体とした気管支肺炎に細気管支炎胸膜炎を合併している病態と考える。原因としてはマイコプラズマもしくはクラミジアあるいはインフルエンザ菌等が最も考えられる。すりガラス陰影を評価する時には乳房陰影の影響を考慮する必要がある(下写真は肺炎治癒時のもの)。
[気管支肺炎] 1ヶ月児 縦隔陰影の拡大と気管支の変位、肺野では左肺の透過性の低下と小斑点状陰影をみとめ同時に胃泡・腸管のガスの過多がみとめられる。左横隔膜の高さがほぼ右横隔膜の高さと同じレベルになっている。
[評価] 左肺の含気が低下していて間質性肺炎を示唆、気管の変位は胸腺によるものと考えられる。頻呼吸があると推定されそのため腸管の空気が過多になっている。月数を考慮すると母親から感染したクラミジア肺炎が最も考えられる。
[間質性肺炎+肺胞性肺炎] 1歳児 肺尖部が撮影されていなことに加えて呼気のため不良のレントゲン像だが、肺野全体にすりガラス様(左心辺縁シルエットサン陽性)・斑状様陰影がみとめられ右上葉(S2)には肺胞陰影を反映した早い段階のコンソリデ-ションがあり気管支肺炎+細菌性肺炎の混合感染を示唆、これらの所見は単独の起因菌もしくはウイルスでは説明しずらい。(ヒトメタニュ-モウイルスにインフルエンザ菌が二次感染肺炎球菌尿中抗原マイコはともに陰性)
[肺炎](気管支拡張症) ①撮影条件、体位等は問題なく撮れている。
②胸郭陰影に異常はみとめないが、縦隔等の中央陰影では胸部大動脈が拡張しているようにみえる。
③右横隔膜は外側半分がド-ム状に盛り上がっていて肝臓の正常異形、左横隔膜はまったく不鮮明でたどることができず、肋骨横隔膜角も鈍になっていている。
④右肺野は肺門部を含めて正常、左中から下肺野にかけて境界不鮮明な透過性不良(浸潤影)をみとめ心辺縁もシルエットサイン陽性、さらに線状輪状影嚢状陰影が錯綜しているが膿等の貯留を示唆する鏡面像の所見はみられない。
[評価] 左肺に限局した気管支拡張症(嚢状)に肺炎(肺胞性・間質性)が合併している病態と診断できる。大動脈については瘤の可能性がある。
[肺炎](限局性器質化肺炎) ①気管の位置が大きくずれていて非対称な写真、撮影の体位がよくない。
②胸郭・横隔膜に問題はないが心陰影の左右辺縁がはっきりみることができず同時に滴状心様になっている。
③右肺門の血管陰影が斜位撮影にのため心陰影に隠れた状態になっている。
④右上肺野線状影帯状影をみとめ内部に不規則な透亮像をみとめる。
⑤線状影は左中肺野にもみることができる。
[評価] 肺炎治癒過程での線維性瘢痕、結核や原発性肺がんの浸潤・線維性変化などが考えられる。
C.肺線維症(間質性肺炎) ①やや線量過多の写真で肺野が幾分黒くなっている。
②肋骨の陰影が薄くとくに肺野ではわかりずらくなっている。
③右心辺縁と左横隔膜の一部がはっきりしない。
④両下肺中心に輪状、線状、網目状陰影が目立ち、蜂巣様。
[評価] 間質の変化中心の間質性肺炎像、肺線維症が考えられる。
肺線維症(軽症例) 肺線維症(やや進行)
D.肺気腫(透過性亢進・過膨張) ①肋骨の陰影が薄く線量過多もしくは骨量の減少を示唆。
②胸郭全体が樽のように過膨張。
③横隔膜が第12肋骨の部位にあり同時に濃淡に差があり横隔膜後部の肺野が含気過多になっている。また左横隔膜中1/3が不鮮明、平低化(ド-ム状になっていない)。
④左右とも上肺野の肺紋理(肺の血管影・気管支影)が消失して追うことができない。
⑤左右下肺野には小粒状影・線状影をみとめ心辺縁がはっきりしない(シルエットサイン陽性)。
⑥右横隔膜化に弧状の陰影をみとめる。
[評価] 肺野の透過性(血流減少・含気の増加)が亢進、肺の膨張した肺気腫の所見、同時に骨量の減少があり高齢もしくは骨粗鬆症を示唆する写真になっている。⑥は肝臓の凹凸を反映していると考えるが他の腫瘤性陰影の可能性もあり検索が必要になる。
肺気腫+肺炎 肺気腫+肺嚢胞 弧状の線状影とレントゲンの透過性(黒化度)・血管影の消失に注目する。
E.肺癌(孤立性陰影) ①撮影条件・撮影体位等問題なく撮れている。
②全体に鎖骨・肋骨陰影の黒化度が薄い印象と同時に肋軟骨の陰影も見ることができ肋軟骨の石灰化を示唆している。
③縦隔陰影横隔膜陰影は問題ない。
④肺野の陰影では乳房下端の陰影と同時に乳房陰影の中に不規則な陰影もみとめ肋骨軟骨接続部の石灰化を示唆、血管影・肺門部には所見はみとめず。
⑤見逃しそうだが、左鎖骨、胸鎖関節に近接した約1.5cmの円形陰影があり、辺縁は不規則(毛羽立ってみえる)になっている。
⑥陰影は大動脈・縦隔とのシルエットサインはみられず左肺S1+2に存在すると考えられ、肺門部のリンパ節腫脹はみらない。
[評価] 丁寧に観察検討しないと見逃しそうな陰影だが、その形態から肺癌が最も考えられる。大きさが1.5cmm、肺門リンパ節の腫大がみられないことから比較的早期の肺がんと診断するがHRCT等で確定が必要。この所見を難なくみつけられれば読影能力はまずまず。
肺癌(孤立陰影) 難しい。金平糖様の陰影が右B3の断面の上にあり、こうした場合精査を重ねる必要がある。縦隔陰影(下部)内の奇静脈食道線・椎体が不鮮明になってることに注意。
肺癌(円形陰影) ①縦隔陰影の拡大、大動脈の拡張をみとめる。
②右肺門肺動脈に重なって半球様の陰影(径2.7cm)が確認できる。
③肺門のリンパ節腫大等はない。
[評価] S6の炎症性偽腫瘍、結核、肺がん等の可能性がありCT等の検索・喀痰細胞診・生検が必要になる。
肺癌(浸潤影) ①境界不鮮明な浸潤陰を左下肺野にみとめ径は3cmを超える。
②周囲の血管気管を陰影内部まで追うことが可能。
③浸潤陰下端内側より肺野に粒状陰影をみとめる。
[評価] 陰影の特徴を考慮すると炎症性変化よりS6に存在する肺癌(末梢性腺癌)の可能性が高い。
[肺門部の肺炎] 参考 左肺門部に塊状様陰影をみとめるがその左側は不鮮明で浸潤影にみえる。左肺野のわずかな陰影が間質性の変化を示唆していて、感染症を考えるべき所見になっている。リボテスト陽性の結果マイコプラズマ肺炎と診断したが、肺門部の陰影は見逃しやすいので、知識を駆使して読影する必要がある。
肺癌(塊状陰影) 両下肺野に蜂巣様陰影をみとめるためわかりにくくなっているが、心陰影内の濃淡が均一でなく向かって右辺縁が比較的はっきりした(縦隔よりの辺縁は不鮮明)径5cm程度の腫瘤様陰影をみとめる。腫瘤より肺門よりの血管影・気管影の走行が集束してるように見える。胃泡の上縁に不規則な陰影をみとめる。
[評価] 心陰影に重なっているため見逃しやすい部位だが、肺癌の可能性がありCT等による確認が必要。腫瘍辺縁を構成する線状影を肺線維症にみられる線状影と判断すると見落とすことになる。
F.縦隔腫瘍(後縦隔) ①撮影条件(線量・体位等)は良好です。
②胸郭→横隔膜→縦隔陰影→心陰影と読み進めてゆくと左縦隔上部に大きな塊状陰影(最大径5.5cm)があるのがわかる。大動脈とのシルエットサインがなく、辺縁は平滑で鮮明になっている。肺門の動脈陰影も確認でき肺内の陰影というより肺外、後縦隔の病変が考えられる。
③陰影内の左気管支は走行・形態ともに正常、腫瘍による圧迫所見はない。
④肺野の所見は左右とも問題ない。
[評価] 後縦隔にある腫瘍が考慮される。無症状で相当な期間を経てこの大きさになっていると推察される。したがって良性の腫瘍、神経鞘腫・神経線維腫等の可能性がある。
縦隔腫瘍(前縦隔) ①正確に正面から撮れていないので左右の鎖骨がアンバランスになっているが、線量はとくに問題なく良好。
②胸郭・横隔膜・肺野等特別な所見はない。
③縦隔については大動脈がやや弧状に湾曲がみられると同時に、肺門部左肺動脈の部分に境界が明瞭な腫瘤様の陰影をみとめ、心陰影とのシルエットサインは陰性。
[評価] 縦隔とくに前縦隔の腫瘍病変が考えられる。胸腺由来の腫瘍の可能性が大きく胸腺腫が鑑別の対象になる。肺動脈の走行に熟知していれば気づく可能性があるが、読影するにはやや難。
縦隔腫瘍(胸腺腫) 肺門部の血管気管支の走行、大動脈弓部胸部大動脈との関係を参考に読影すると胸腺腫と診断可能だが浸潤性かどうかは判断できない。
縦隔腫瘍(気管支嚢胞) 右肺門部に辺縁明瞭な塊状影をみとめ左の境界は縦隔に隠れて判読不能、縦隔中部気管近くから発生してることを考慮すると奇形腫、リンパ腫、胸腺腫などが鑑別に上げられる。
食道滑脱ヘルニア ①横隔膜が波を打ったように3つのとがった部分をみとめる。
②左右下肺野に下に凸の弧状の陰影がある。
③縦隔の下部が拡張していて、内部に空気層にみえる透亮像を確認できる。
[評価] ①②は横隔膜の正常のバリエ-ションと大胸筋と考えられる。③については食道ヘルニアのガス像がもっとも考えられる。バリウムもしくは内視鏡検査により診断が確定可能。
縦隔気腫 従来の現像写真で条件が悪いが縦隔・心陰影を追うことによって診断可能。
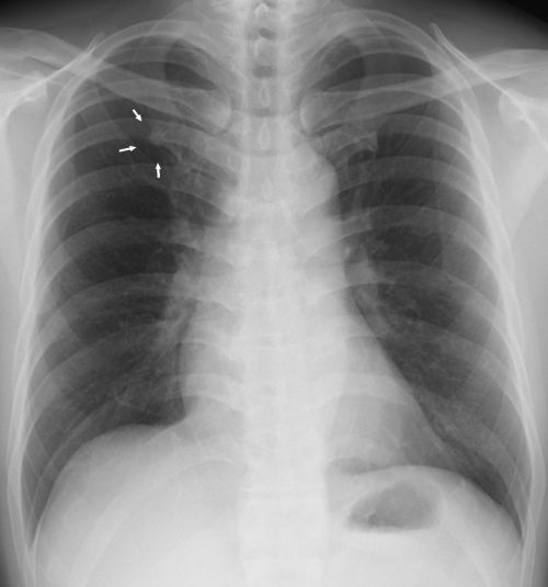
G.陳旧性結核(多発の孤立陰影、石灰化陰影) ①線量・体位ともに良好にみえるが、肺野が黒すぎて肺紋理がはっきりせず、レントゲン線量がやや過多な印象。
②右の側胸部肋骨の配列が内側に凹になっていて胸郭の変形と、同時に肋骨の骨量が薄く骨粗しょう症を思わせる。
③縦隔はやや拡張していて、大動脈弓に沿うように石灰化陰影、同時に大動脈の拡張と右心辺縁に円形の周囲が石灰化した陰影をみとめる。左心陰影に隠れてやはり不規則な2~3ヶの石灰化陰影がみられる。一部は肋軟骨の石灰化。(骨より白く見えるときは石灰化していると考えるのが妥当)
④右横隔膜は鮮明だが、左はぼやけた印象があり胃の陰影と重なって4~5ヶの小さい石灰化陰影をみとめる。左の横隔膜肋骨角はやや不鮮明。
⑤右肺上肺野には6~7ヶの大小不同の石灰化陰影があり、中肺野外側肋骨に沿ってまた下肺野大きな円形の辺縁が石灰化した陰影の横に、不規則な形状の石灰化した孤立陰影、肋軟骨部の石灰化をみとめる。
⑥左肺には上・中肺野に小陰影をみとめる他に、中肺野にうねった不規則な線状の陰影があり上葉と中葉の葉間の石灰化陰影を思わせる。
[評価] 空洞周囲が石灰化した陰影(乾酪巣の周囲の石灰化)、葉間の石灰化を思わせる陰影、肺野の散在する陰影等から結核が陳旧化したものと考えられる。同時に大動脈瘤、骨粗鬆症の存在が推察される。
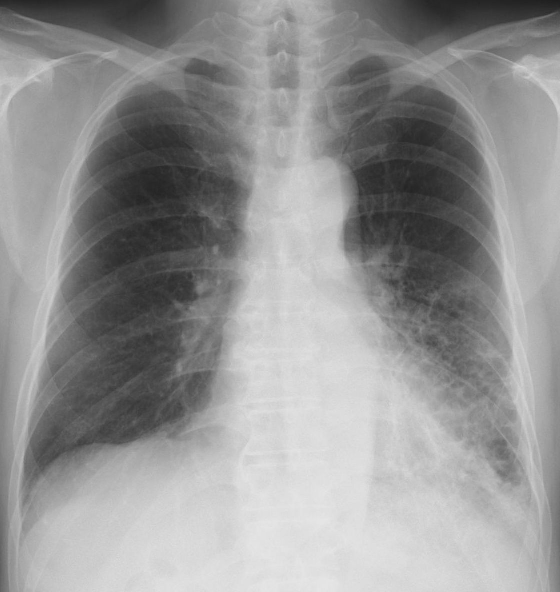
石灰化(肺野・陳旧性結核) 結核(活動性) 右上葉(S1)外側よりに粒状影・結節影をともなう不規則な浸潤影をみとめその境界ははっきりせず、一部に胸膜の肥厚がみとめられる。肺門部のリンパ節腫脹等の異常はない。
[評価] 結核・非定型的抗酸菌症あるいは浸潤型の肺がんなどが考えられるが、悪性を示唆する積極的所見に乏しく活動性の肺結核が最も可能性が高い。また陰影の特徴(不均一、不鮮明、胸膜の変化など)から肺炎球菌やマイコプラズマ等の細菌性肺炎は否定的である。
結核腫(類円形陰影) 左下肺野の間質性の陰影以外に上肺野肋骨に重なって比較的辺縁明瞭、淡い類円形(約2cm×1cm)をみとめる。左心陰影内右心横隔膜にも陰影の濃淡に差があり加えて右上葉に結節陰をみとめる。肺門部のリンパ節腫脹もあり肺癌・被包性胸膜炎・膿瘍などが考えられるが結核腫の可能性が濃厚なため精査が必要。
結核(瘢痕線維化) 左右状肺野に線維性収縮性変化と周辺の肺気腫様変化をみとめる。治療後の瘢痕化したものと考えられる。
H.胸水 ①主気管支からの左右の胸鎖関節の位置関係がずれていて適切な正面とはいいがたく、線量もややオ-バ-、骨量も少ない印象を受ける。
②中心陰影、縦隔・心陰影が左に偏移、右肺の過膨張と左肺尖部に含気がみられず均等の軟部組織の陰影になっている。
③右心陰影が右肺に弧状に突出していて右房とみられる。
④左肺の横隔膜が確認できず同時に上に凹の均等影と肺野の透過性不良が目立つ。
[診断] 肺葉切除後の左胸水
I.気胸(自然気胸)
症例① ①線量・撮影体位等良好。
②胸郭は縦長で肺気腫様にみえる。
③右肺門の血管影が左のそれよりも低い位置になっている。
④右上肺野に血管影等の肺紋理が消失していて境界に上突の不規則な線状影がみとめられる。
[評価] 右の気胸、ブラの存在が示唆される。
症例② 右上肺野、第3肋骨より上方の肺紋理が消失、同部に上に突の線状影がわずかにみとめられる。
[評価] 軽症の自然気胸、ブラブレブの存在は写真からは指摘できない。 手順を追って読影しないと見逃す可能性がある。
症例③ ①左肺に不規則な弧状の線状影・縦になった線状影をみとめる。
②左の肺紋理は消失しているが、一部に血管影をみとめる。
③左横隔膜は下方に押し下げられた所見を呈している。
[評価] 左肺の気胸、肺はほとんどすべて縮小しているが一部が不規則に残っていて何らかの癒着があると推察される。肺手術後の自然気胸が最も考えられる。
症例④ 右肺の肺紋理が消失していて重症なタイプの気胸。
症例⑤ 左鎖骨下に2本の線状影がありその上は血管影がみられず、交差した線状影を注意深く左下方たどると気胸の範囲を確認できる(下写真参照見やすくするため明るさを調節)。気胸の境界部は相対的に線量過多になっていて、辺縁の全体が読み取りにくい場合がある。
症例⑥ 左肋骨横隔膜に水平面があるのに注意、発症から経過して浸出液が貯留した病態と考えられる。
症例⑦(続発性自然気胸)肺気腫・肺癌・気管支拡張症 肺気腫・肺結核・肺癌・COPDなどの基礎疾 患から発症することがある。
J.水腫 ①肺野の透過性不良(すりガラス様)と右胸膜の一部の肥厚が目立つ。
②肺門の陰影は肺血管の走行が不鮮明(hilar haze sign)である。
③右A3の血管影が不鮮明(perivasucular sign)。
④右肺野に斜め肺門に向かう線状影(kerly’s A line)あるいは胸壁から短い水平な線状影(kerly’B line)をみとめる。
⑤縦隔上部の横径が拡大してみえる(vascular pedicle width)。
⑥心陰影の拡大をみとめる。
[評価] 左房内圧が上昇等による肺血管外水分量の増大を示唆、肺水腫の所見である。
ウイルス性肺炎・クラミジア等もすりガラス様陰影がみられ鑑別を考慮する必要がある。
K.石灰化像
大動脈弓の石灰化
肋軟骨の石灰化①
肺炎像と紛らわしいことがある(右下肺野)。
肋軟骨の石灰化②
肋軟骨の石灰化③
浸潤影?骨転移?など鑑別しなければならないような場合もある。
肋軟骨の石灰化④(化骨) 円形陰影様にみえるが、変位した肋骨に沿って複数(4ヶ)みとめるので骨折による化骨と判断できる。男性では前立腺がんの転移を否定すること。
肋骨・肋軟骨接合部の石灰化⑤ 左は石灰化と断定できる形状をしているが、右は結節影にも見え確実に診断するにはCT等による確認が必要になる。
大動脈弓の石灰化
L.肺葉(右肺)切除後
M.放射線肺炎 ①左肺野の縦に走る不規則な陰影は人為的な操作を思わせる。
②その内側のすりガラス様(間質性陰影)の中に円形の透亮像をみとめる。
③壊死した腫瘍組織等が考えられる。



















































































