気管支の分枝と肺の区分
気管から肺胞までの解剖学的知識 肺の実質と間質肺実質は肺胞と肺胞上皮細胞(下図右参照)、肺間質とは肺胞璧(気管支血管周囲結合織、小葉間隔壁、胸膜下結合織)のことをさしています。肺胞に炎症が起きると肺炎、肺胞璧の方に炎症が起きると間質性肺炎といいます。肺胞内の炎症に特徴的なレントゲン上の陰影を肺胞性陰影、間質の変化に特徴的なレントゲン上の変化を間質性陰影としてそれぞれに特異的な所見を理解しておくことが、肺炎の診断に重要なことです。
また、肺の解剖学的な単位は大葉(右肺に3つ、左肺に2つ)・小葉(指頭大)と細葉(終末細気管支に支配される領域)です。これらの知識・情報を整理しておくと肺炎の病変の広がりや起因菌の推定に役立ちます。
小葉と細葉 肺の小葉(Millerの2次小葉、繊維性の隔壁が有る)が気管支肺炎の単位になります。 2次小葉のイメージ
1.終末細気管支 2.呼吸細気管支 3.小葉気管支 4.小葉内細気管支
小葉は終末細気管支以下の領域、細葉は呼吸細気管支以下の領域。 細気管支から肺胞までのイメージ 肺炎と気管支肺炎 小葉の正常と細胞浸潤(肺胞性肺炎) [左]正常の小葉、明らかな小葉間隔壁に囲まれ中の蜂の巣様の1つ1つが肺胞、中は何もない気腔。中央の管状の構造は細気管支の断面。
[右]空気だけで何もない気腔(肺胞内)に多数の細胞浸潤(好中球)をみとめる。細菌による肺胞性肺炎の場合このような変化になる。
(間質性肺炎) [左]非特異性間質性肺炎の組織像、間質にリンパ球主体の細胞浸潤をみとめる。
[右]特発性肺線維症の組織像、肺胞璧内(*)に線維芽細胞の増生をみとめる。
・・・特発性間質性肺炎診断と治療の手引き(改定2叛)より一部改変
[注]コンソリデ-ション consolidation
肺胞が空気以外のもの、炎症巣等におきかえられて肺が固くなった状態をさして使用される。均等影とも表現されることもある。浸潤影とほぼ同様 だがより辺縁不鮮明で不均等な限局性陰影を浸潤影としている。
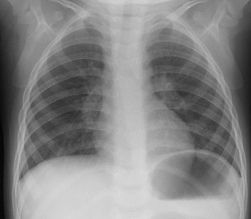
正常肺胞と肺胞性陰影、間質性陰影の模式図 間質性肺炎のイメージ 小葉・細葉の理解のためのイメージ 細菌性肺炎(肺胞性肺炎)の広がり方のイメージ [レントゲン像でみる細葉レベルの炎症像] 径4mmの微細斑点状陰影(肺炎球菌)
| 大葉性肺炎(肺炎) | 非区域性分布 | 肺容積の増加 | 肺炎球菌・肺炎桿菌・レジオネラ等 |
|---|---|---|---|
| 小葉性肺炎(気管支肺炎) | 区域性分布 | 肺容積の減少 | インフルエンザ桿菌・モラクセラ・マイコプラズマ等 |
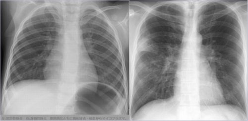
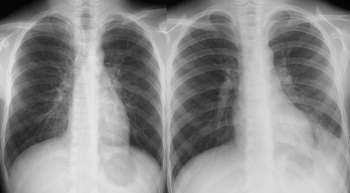
[区域性分布と非区域性分布の理解] ***下図を参考に大葉性・小葉性と区域性・非区域性を混同しないこと。 [マイコプラズマ肺炎陰影の成り立ち] [参考1]マイコプラズマ肺炎の2型 [参考2]マイコプラズマ肺炎の2型 [参考3]マイコプラズマ肺炎(肺胞性間質性)
右肺下肺野では肺胞性陰影(浸潤影・airbronchogram)と間質性陰影(水平裂外側の下方への偏移・tram line・線状影等)が混在している。 [参考]右肺は均等影様にみえるが左肺と同じ透過性不良のすりガラス様陰影で間質性の陰影。 [びまん性肺病変の基本型] びまん性肺疾患 間質性陰影と肺胞性陰影
1.間質性陰影(肺の間質に炎症がある時の特徴)
線状影・輪状影・網状影・蜂窩肺・すりガラス状影など
2.肺胞性陰影(肺実質すなわち肺胞内に炎症細胞が浸潤している時の特徴)
コンソリデ-ション・浸潤影・融合像
細葉結節影・斑状影・塊状影・すりガラス状影など
3.結節性陰影(肺実質・間質の境界なく腫瘤様陰影をつくる時の特徴)
粒状影・微小結節・小結節・大結節・腫瘤影 肺胞性・間質性のパタ-ン分類と考えられる疾患(表1) [間質性陰影と肺胞性陰影の実際] [参考]すりガラス様陰影のCTによる鑑別、単純写真を読むための参考になります。 [すりガラス様陰影の実際] [参考]乳房陰影(左)とすりガラス様陰影(右) 胸部X線写真の表現用語集 孤立性異常影の知識
孤立性陰影は上表の右側の円形陰影・腫瘤状陰影等が含まれ、肺がん・結核等重要な疾患の鑑別が必要になります。 [参考]左:結核腫 vs 右:肺がん 肺野の肺がんの特徴 肺結核病巣の経時的変化(知識として持っていると読影に役立ちます。) 理解を深めるためのイラスト [参考]活動性肺結核
肺の浸潤影と肺区域 肺区域




































































