X腺の吸収度はX線の波長・被写体の厚み・被写体の密度・構成する原子等によって規定されます。水を基準とすると心臓・大血管・縦隔は水の吸収度に近く、肺胞はほとんどが空気なので吸収されません。
X線を生体に照射すると吸収度の違いによってそれぞれの黒さ(黒化度)が、レントゲンフィルムに表れてきます。骨はX線を吸収して透過させないためフィルム上はヒトの体の中で最も白く、肺には空気が多く含まれているので肺野は比較的黒く写ります。
肺に炎症があって滲出物(水に近い透過性)が多くなると白い影としてとらえることができ、気胸のように肺が虚脱して肺組織が縮んでしまうと、その部分は一様に黒くなってフィルムに現れてきます。この黒化度の濃淡の差を、すなわちX線写真上の陰影を正常の解剖と比較、または疾病による変化像としてとらえ検討することがX線診断に発展してゆくことになります。
<胸部写真読影の基礎>
Ⅰ.正しく撮影されているかどうか確認する
1.正しく正面像で撮影されているか。
2.X線の線量は適切か。
3.目的とする撮影部位が欠けることなく撮影されているか。
4.読影を紛らわしくする着衣・髪の毛・装着品などが写っていないか。
Ⅱ.胸部正面像の区分
1.肺野は便宜上、第2肋骨と第4肋骨の先端で区切って上肺野・中肺野・下肺野に分けて表現、解剖学的な肺区域とは無関係。
2.胸部正面像は透過性の高い(黒い)肺組織のある肺野と透過性の低い(白い)中央部の縦隔陰影に分けられる。
3.肺野には血管陰影・気管支陰影・肺胞等の空気が投影される。
Ⅲ.読影の順序
見逃しのないよういつも一定の順序で読む。胸郭→左右肺野の明るさの対比→中央陰影→気管支系→血管系→肺区域の確認→異常所見
ならびに異常陰影の検出と同定→情報をもとにレントゲン診断する→病態と矛盾しないか検討する。

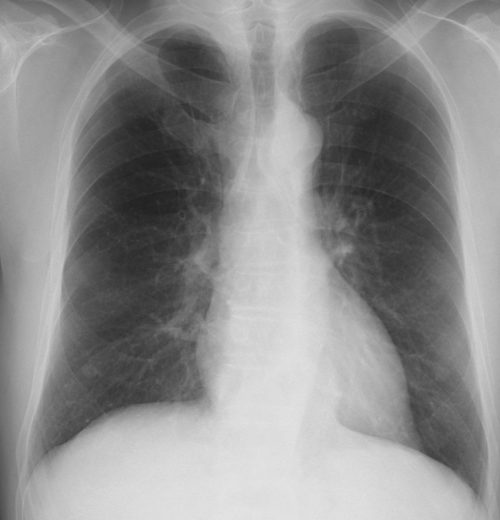
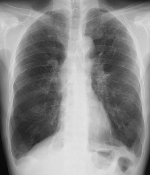
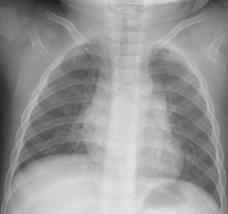
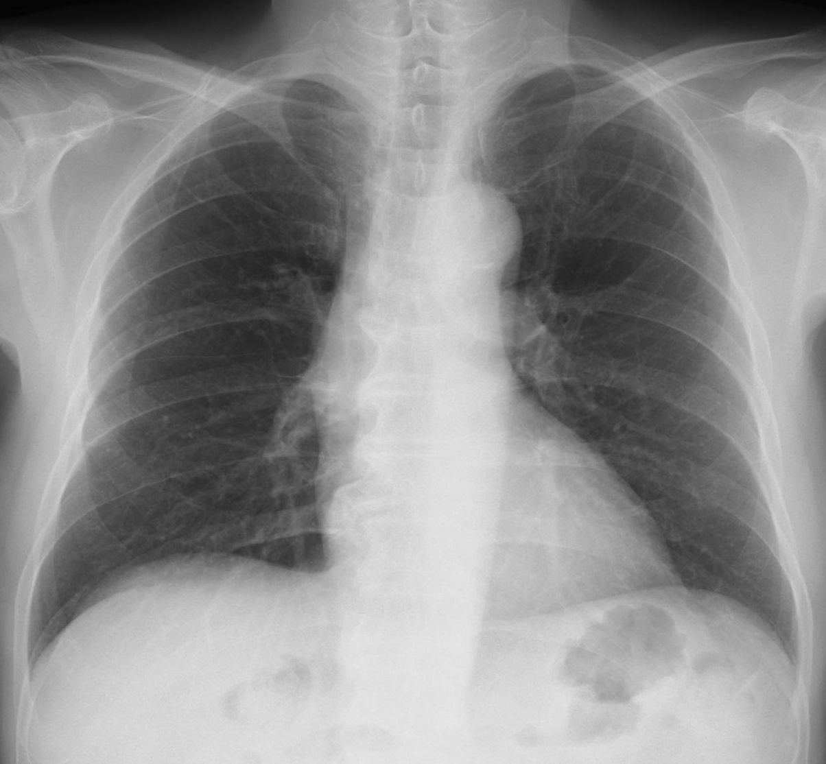
縦隔の拡大があり内部をみると血管陰影もしくは左房陰影の可能性があるが、右縁は大動脈弓に連続しており大動脈の蛇行(上行・胸部)と考えられる(横型心陰影にみられる正常バリエ-ション)右S3の結節影と縦隔の下部の不鮮明な所見には注意。

肺野の含気過多があり細気管支炎様のレントゲン像だが、同時に上縦隔右気管支上の部分が反対側の左と比べてやや白く透過性が悪くなっている。このような場合気管支S1もしくはS2の浸潤影初期のことがある。
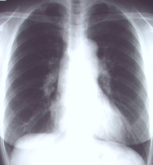
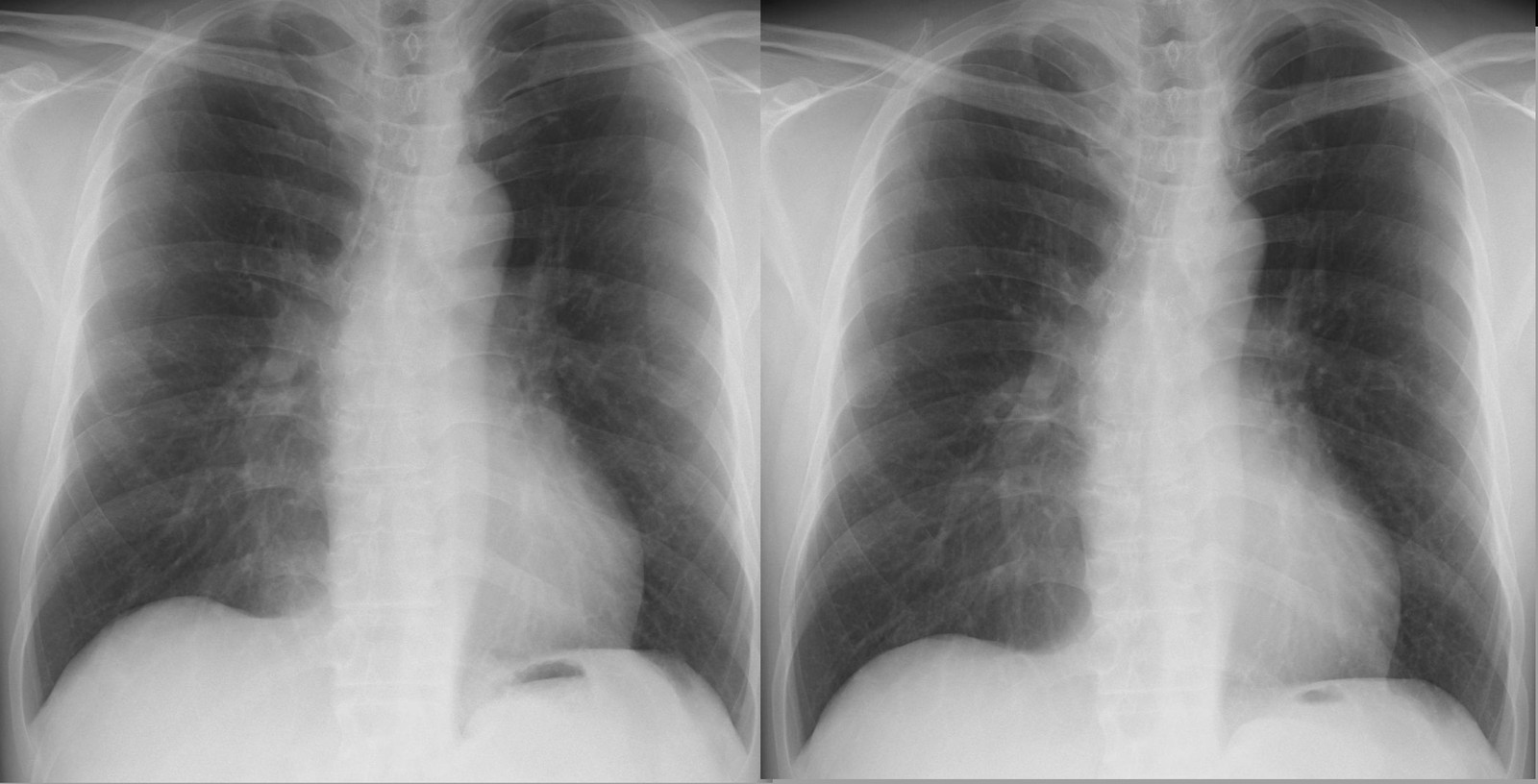
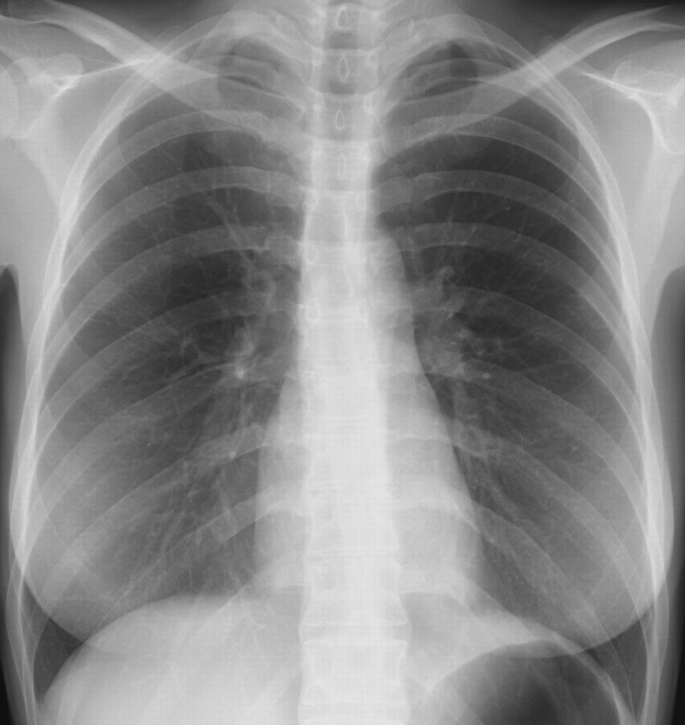
5日後に確認したレントゲン像を下に提示する。
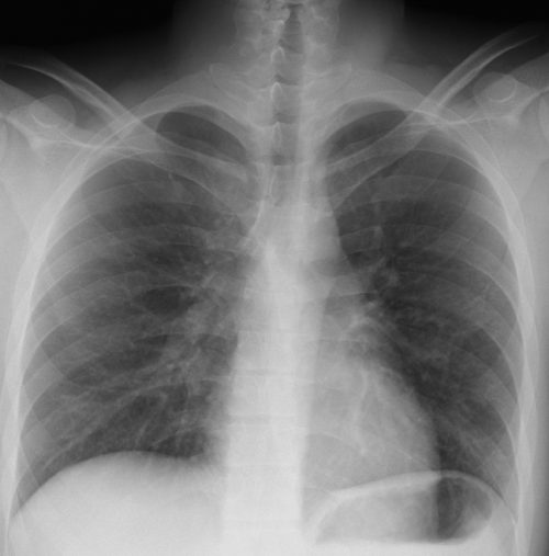
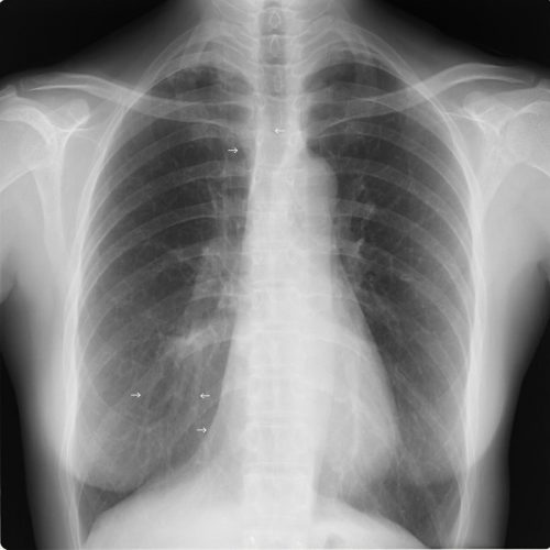
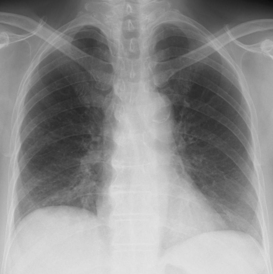
胸部大動脈石灰化
① ② ③ ④ 大動脈弓の石灰化はすぐみつけることができるが、同時に右肺野の気管支拡張とエアブロンコグラム所見を見逃さないこと①。
大動脈璧から石灰化が1cm以上離れている時は解離性大動脈を示唆する(カルシウムサイン、下図参考)。
[注意] 読影上見落としやすいレントゲン部位。 [注意] 鎖骨と重なる部位の初期の変化は見落として正常と判断してしまうことがある。 [注意] 心陰影横隔膜にかさなる部位はとくに見逃しやすい。 [注意] 肺区域S6(上-下葉区)は肺門陰影に重なるため見落としやすく病変の検出が難しいことがある。 [注意] S6の肺炎像は肺門影と読み誤って正常と読影してしまうことがある。
[注意] 判読が難しい例がありCT等による確認が必要なこともある。
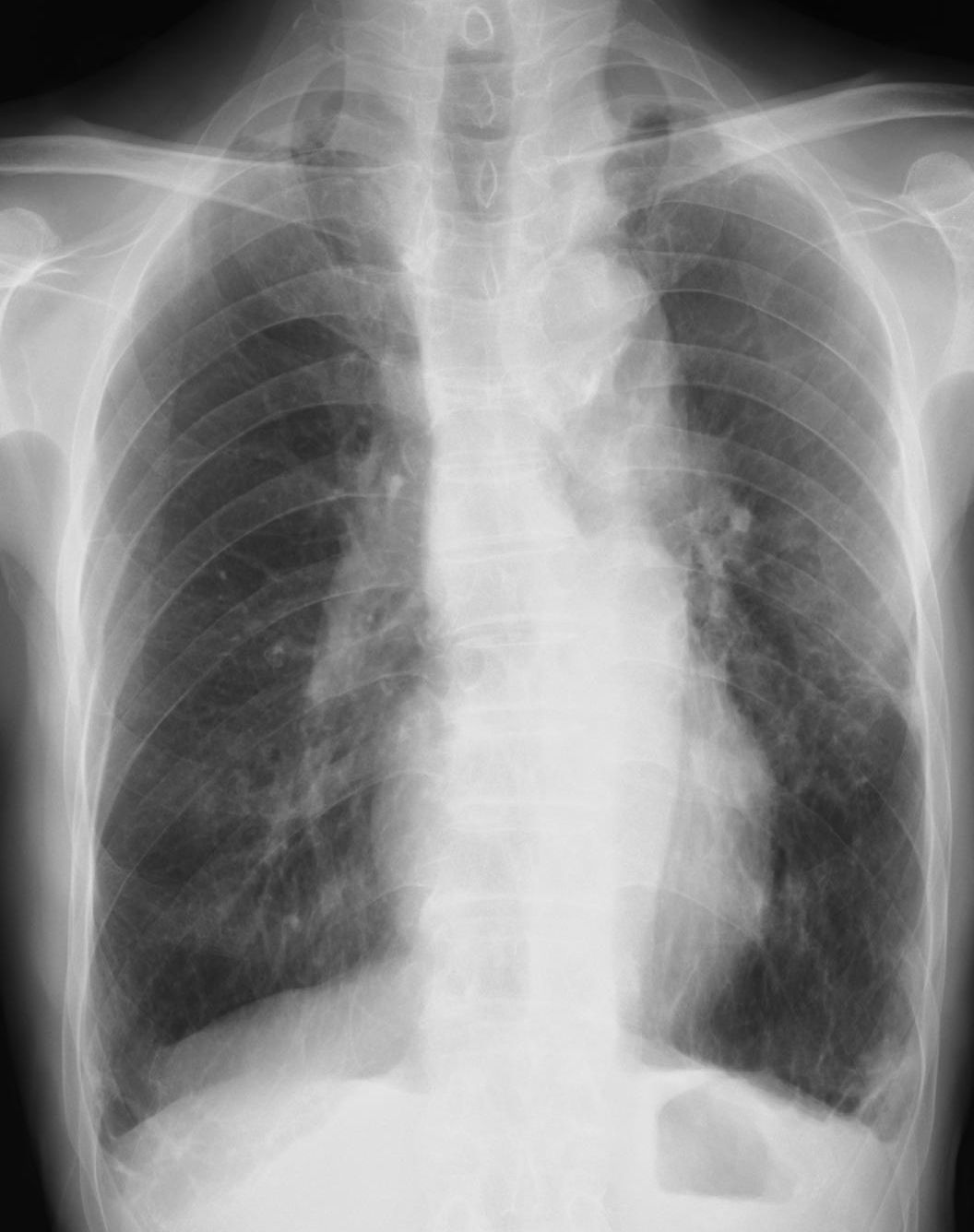
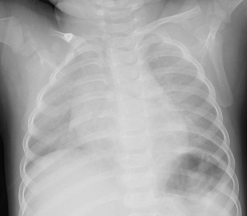
[注意] 心陰影にみえる肺門陰影(右)、シルエットサイン陰性に気づけば肺炎像と理解できる。また、左肺門部陰影は心辺縁が不鮮明(シルエットサイン陽性)で同部にも浸潤影があることが推定できる。 肺門部の浸潤影はいつも慎重に判断する必要がある。下写真の左肺門部の心陰影ははっきりせず(左上挿入写真は治癒時)判断に迷うがシルエット陽性と判断すればS6もしくはS3の肺炎が推定可能になる。下の写真はS6の浸潤影が想定される。 [肺門の陰影]
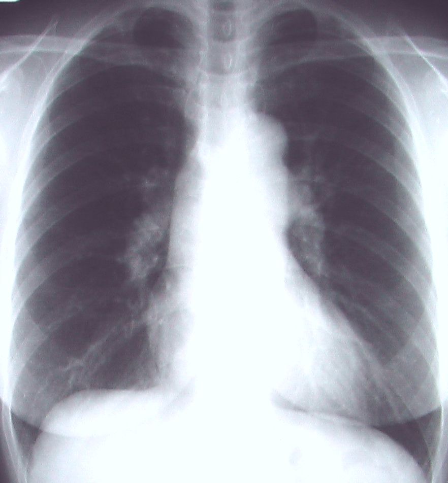
左は肺門の変化からマイコプラズマ肺炎と診断、オゼックス投与にて解熱しないため3日後に確認したところ浸潤影が拡大していた。 [心陰影の把握]
[実際例] [縦隔を含む中央陰影の線] [肺門部(中央陰影)] [肺紋理] 肺紋理とは肺野全体の印象を表現している。胸部レントゲン写真でみとめられる肺野の模様を示しているが、主に肺動静脈の分枝の陰影によって構成されている。気管支分枝璧などの間質も構成要素に含まれる。肺紋理の異常には次のような内容が含まれるので、原因を理解しながら使用すること。また呼気と吸気で差異が出るので撮影の条件も配慮する必要がある。
1.血管陰影の太さの異常(拡張・狭小化など)
2.血管の分布異常(分散・集束など)
3.血管の走行異常(蛇行・屈曲・末梢の消失)
4.血管陰影の輪郭の不明瞭
5.気管支璧の肥厚・気管支の拡張
6.肺間質の水腫
7.肺野全体の小粒状陰影
8.肺野の網状・線状・蜂巣状陰影(肺間質の線維化)
Ⅳ.胸部写真で目標として確認すべき部位
Ⅴ.読影に役立つサイン
シルエットサイン
同じX線密度のものが境を接している時、境界が不鮮明になる現象を表す。肺のどの区域かを判断するのに有用な情報となる。 具体的例①(イラスト) 右の心臓辺縁がぼやけてみえる。このとき陰影は中葉(S5)にある。左の心辺縁は鮮明、この時陰影は下葉(S10)にあることがわかる。
(シルエットサインの読み方) 典型的な均等影の所見、侵されている肺区域を考慮する時、右心辺縁は鮮明にみることができシルエットサイン陰性、右の横隔膜は不鮮明でシルエットサイン陽性のためこの均等影はS8とS10にあることが断定できる(写真からはS7、9も含まれて下葉全体に及ぶ肺炎と推定可能)。
(シルエットサイン陽性例) (シルエットサイン陰性例)
具体例②

胸部大動脈の中間部が不鮮明に途切れて追うことができなくなっている(その上と下は明瞭になっている)。シルエットサイン陽性と判断すると、陰影はS6あるいはS10に存在すると推定可能。右左内側の横隔膜内側の不鮮明は肺間膜も考慮して病変の範囲を診断する。
具体例③

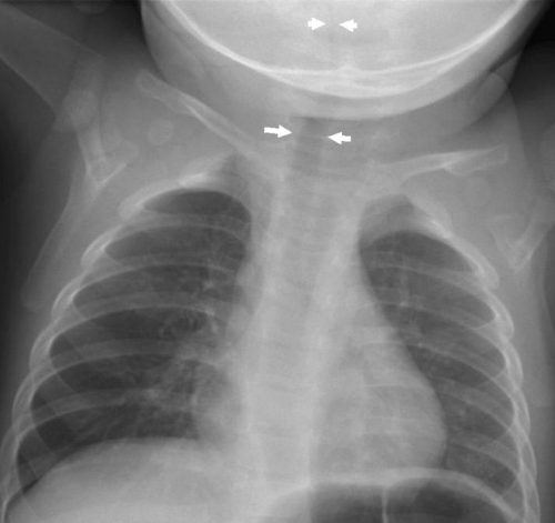
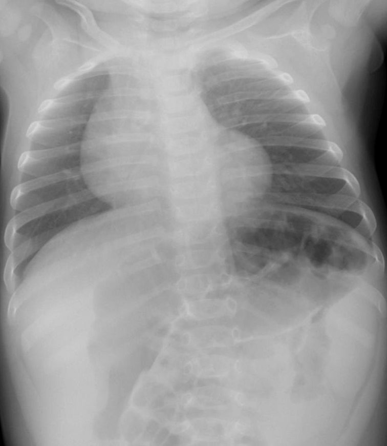
新生児・乳幼児によくみとめられるサイン。いずれも前縦隔にある胸腺を示している。胸腺は免疫器官として重要で、生後活発に活動しているため、この年齢では大きく、他の縦隔腫瘍と鑑別するのに役立つ。肋骨に圧迫されて波打つような形状がtjymic wave sign 、帆のように三角に突出してみえるのが sail sign 。
[参考例] ①透過性不良の間質性肺炎を示唆する写真だが、sail signをみとめる。同時に気管が右へ弯曲している。正面像で撮影できていないが、実際の臨床の場ではこのようなレントゲン像が少なくなく、読影に影響されてはいけない。 [参考例] ②右肺への張り出した陰影に肋骨部の凹みがあり胸腺と判断できる。 [参考例] ③縦隔の拡大があり右辺縁はwaveしていて胸腺と理解できる。(左肺野に浸潤影をみとめシルエットサイン陽性) [参考例] ④胸腺の典型例 epicardial fat(心臓横隔膜の脂肪組織) 心臓には脂肪組織が沈着していてレントゲン像として左右の心臓下部に均等な陰影として出現。右側には下大静脈の陰影もみとめるので銘記しておくとよい。 beginner’s triangle(正常でも異常に見えやすい右下肺内側のこと)(medicina Vol. 50 No.12 2013-11 一色論文 )。
上記の斜線円の部位の陰影は様々な構造が重なっていて正常でも異常と誤って読影しやすいので診断には十分な知識と症例の積み重ねが必要になる。
[正常例] 肺炎(軽症)を疑う経過の時、その鑑別は時に困難なことがある。
[肺炎例]マイコプラズマ肺炎
[下大静脈陰影]この部位には下大静脈もしくは肝静脈の陰影が時に出現することがある。このとき境界は比較的鮮明になっている。 [心横隔膜角の脂肪組織と肺炎]①
肺炎(写真右)を判断するとき、脂肪の不鮮明な陰影(写真左)との鑑別が難しい。横隔膜とのシルエットサインはある程度参考になるが以前のフィルムがあればより正確になる。 [心横隔膜角の脂肪組織と肺炎]②
*1~3の所見を今までの知識とシルエットサインをもとに読影すれば肺炎と判断できる。 比較するため治癒後のレントゲン像を示す。 [心外膜の脂肪組織は肺炎の陰影と紛らわしい]
①右写真は肺炎の浸潤陰、この場合は横隔膜のシルエットサインが参考になる。 ②下右写真は肺炎像、左写真は健康時のもの。この場合右写真心陰影のシルエットサイン陽性の部分が心下縁までには及んでないことが心外膜の脂肪としては説明がつかない。 自信を持って読影、ただし読みすぎないこと。
[参考] [参考]
横隔膜内側のシルェットサインは正常の肺間膜のことがある。 葉間裂 右上葉と下葉、右中葉と下葉の間に大葉間裂、右上葉と中葉の間には小間裂がある。左は左上葉と下葉に大葉間裂があり、これらが肥厚すると線状影として観察できるが、正常でもみられる。 副葉間裂 左下副葉間裂は良く見られる。 [参考] 下副葉間裂周囲の不鮮明陰影は浸潤影と間違いやすい。
Tram line
葉間の少量の胸水がいばらのトゲ状にみえるものがthorn sign、厚くなった気管璧が電車の軌道のように2本の平行線様になったものtram line。 [thorn signの実際①] この場合は胸膜が肥厚していると考えられる。 [thorn signの実際②] このケ-スでは奇静脈葉間裂もみることができる。 [Tram signの実際] (1) [Tram sign] (2) [Tram sign] (3) [Tram sign] (4) [Tram sign] (5) [Tram sign] (6) steeple sign 仮性クル-プなどで気管支の狭窄をみとめると気管支の透亮像があたかも尖塔のようにみえることがある。 下の写真はヒトメタニュ-モウイルスによる間質性肺炎と同時にクループを併発、犬吠様咳嗽と呼吸困難を来した1歳児のレントゲン像、気管支の狭窄が推定できる。 吸気性喘鳴と犬吠様咳嗽がひどい状態の6ヶ月児(下写真)、喉頭の狭窄を推察できる。 [参考] 幼児の正常例を提示。 肺外の所見 胸膜外に腫瘤等があると両端(▲)はなだらかで辺縁(*)は鮮明な陰影になる(extrapleural sign)。辺縁の一部のみが鮮明(※)(incomplete border sign)鮮明にみられるのは肺外の特徴で大胸筋・乳房・乳首等の陰影がそれである。
[スリガラス陰影と乳房陰影の鑑別]
[乳首参考例1] [乳首参考例2]
[参考] 移植手術あとの欠損部陰影 Kerly line
肺門周囲の長さ2~6cmの線状影(Kerly A)、肺野外側胸壁から内側に走行する長さ2cm程度太さ1mmの線状影(B)、肺野にみとめられる網状影(C)、いずれも左房圧が上昇する(心不全)と出現、Kerly B lIneが有名。また通常の横隔膜の高さは、後方の第10肋骨にあり右横隔膜の方が左横隔膜より高くなっている。右横隔膜が左より半椎体以上高いか、左横隔膜が右より高い場合、左横隔膜胃泡間の距離が1cm以上の時、肺下の胸水貯留・横隔膜神経麻痺・横隔膜下膿瘍・無気肺などを疑う。 cervicothoracic sign
肺尖部、鎖骨より上にあって辺縁が不鮮明(*)なら前縦隔の病変、境界鮮明なら(※)肺と接している後(中)縦隔の病変が推定される。胸腹部にまたがる病変は肺に接する部分のみがみとめられ(thoracoabdominal sign)、この下にさらに大きな病変が隠れている可能性がある。 meniscus sign
球状の菌と嚢胞の間に空気層がみえるものがmeniscus sign(左肺(*))だが胸水貯留時の所見(左肺※)として使われることもある。また右肺の様に肺門側に陰影が分布した状態をbutterfly shadow(*)という。気管支の内腔が肺胞の病変によって透亮像としてみえるのがair bronchogram(※)、肺水腫、肺炎などの肺胞性病変でみとめられる。 [胸水の実際例]
胸水貯留が少量の時は読影・診断に下記の所見・項目が役に立つ。
1.片側の横隔膜の拳上。
2.横隔膜の内側部分の平坦化。
3.横隔膜頂点の外側への偏位。
4.横隔膜下の血管影の消失。
5.左側では胃泡と横隔膜上端の間がひらく。
6.心陰影の反対側への偏位。
7.肋骨横隔膜角の鈍化。
8.三日月徴候(meniscus appearance)がみられる。
特殊な胸水貯留陰影。
・両側性の場合、心不全・転移性肺癌・Meigs症候群等を考慮。
・非典型的な胸水貯留陰影(被包性・縦隔・葉間など)がある。
膿胸の陰影は胸水貯留の陰影と変わらない。 [少量の胸水] 下図の方がより参考になる。 [air bronchogramの成因] [airbronchogramの実際例] 初期にはすりガラス様の陰影にもとれるが、経過でairbronchogramが鮮明となり肺実質の浸潤影と判断できる。 [airbronchogramの有用性1]

左肺野にわずかに透過性不良(すりガラス様陰影)をみとめるが有意にとって良いのか、正常範囲もしくは線量の問題とするのか判断に迷うことが少なくない。こうした場合、airbronchogramの所見があれば肺胞性陰影と判断が可能で肺炎と診断できる。
[airbronchogramの有用性2]

乳児の胸部レントゲンは呼気になりやすくまた線量の設定が難しく全体が白っぽくなりやすい。この陰影を肺炎像ととらえていいかどうかair bronchogram(このケ-スでは+シルエットサイン陽性)を見つければ正確に診断できる。
[airbronchogramの有性3] 右下肺野、心横隔膜角周囲に注目、下写真は治療後。 hilum overlay sign
肺門部の縦隔腫瘍では腫瘍陰影の中に血管影がみとめられ、心臓・心膜由来の腫瘤では腫瘤影の側縁から外側に血管影をみとめる。
peribronchial cuffing sign
気管支の正面からみた像で辺縁が厚くなって不明瞭になること。気管支炎や間質の肺水腫等でみられる。
differential density sign
中央陰影に異なった濃淡を認める。外側の方がX線透過性が増大していることによる。内側部の濃い陰影は心臓、周囲はpericardial effusion あるいは脂肪層を示す。 心不全のサイン(まとめ) [参考1] [参考2] 気管支拡張
気管支の評価(肺動脈との関係)
[実際例] 肺気腫
終末気管支より末梢呼吸細気管支・肺胞壁の破壊等より気腔が吸入した空気により過膨張した状態、レントゲン像としては横隔膜の低下(第11肋骨以下)、平坦化やX線の透過性増大により肺野の血管陰影の消失などがみられる。 [肺気腫例] [参考] 横隔膜の拳上(eventiation) [参考] Swiss cheeze appearace①
[参考] Swiss cheeze appearace② [参考] 肺癌手術の既往のある肺気腫・肺炎 [参考] 肺気腫より発生した気胸(続発性自然気胸) vanishing lung
肺の辺縁に生じたブラ(一種の嚢胞)が大きくなり、正常の肺が押しつぶされて縮小してしまうようにみえるのがvanishing sirn(右肺)、気胸(左肺)の肺の虚脱縮小の状況とは対照的である。 triangle sign
無気肺の診断は難しいところがある。 [実際例] 横隔膜のeventration
気道異物のレントゲン像
ピ-ナッツなどの誤飲はその発症経過から気道異物を疑い、胸部写真を吸気時呼気時の両方を撮影することにより推定が可能になります。
air trapping 、Holzknecht sign(縦隔陰影の変位:呼気時に健側、吸気時に患側)、横隔膜の位置(呼気時患側横隔膜低位)などを参考に読影。
空洞と鏡面形成(ニボー)
何らかの原因で肺組織が軟化融解あるいはもともと無くて内腔が空気で置き換わって空虚になっている状態が空洞です。滲出液や膿などが貯留すると水平面が形成され、レントゲン上は鏡面像(Niveau)としてみとめることができます。肺膿瘍や結核・肺がん・肺嚢胞症・気管支拡張症などてみとめられます。 [実際例] 無気肺の成因
無気肺の知識はレントゲン読影の上で欠かすことができません。無気肺は肺の含気量が下図にあげたような原因で減少、肺の容積の減少した状態をさします。レントゲン像では特徴的な領域性の均等影になります。
| 気道内腔の閉塞 | 1.気管支異物 2.粘液栓塞 3.気管支内腔の腫瘍(肺癌・気管支腺腫等) |
|---|---|
| 気管支外方からの圧迫狭窄 | 1.リンパ節腫大(肺癌・結核・悪性リンパ腫など) 2.血管系の疾患(大動脈瘤・左房肥大など) 3.縦隔腫瘍 4.肺実質の疾患(悪性腫瘍・嚢胞性肺疾患など) |
| 気管支の疾患 | 1.気管支結核 2.外傷による気管支の断裂 3.気管支内結石 |
| 非閉塞性無気肺 | 1.気管支拡張症 2.肺結核 3.放射性肺炎等 |
気管支の評価(肺動脈との関係)
無気肺の単純X線写真の目安にする所見
無気肺の診断は典型的であれば容易だが、難しい場合が少なくありません。レントゲン上の特徴を十分把握、紛らわしいケ-スて゛はCT等の画像を参考にして診断の精度を高めてゆくことが重要です。 無気肺陰影・程度とレントゲン像…胸部の異常陰影 金芳堂1984 無気肺読影のポイント
肺のどの部位にあるか部分的かどうか、肺炎との鑑別や合併等留意しながら読影。
①肺葉別の無気肺陰影の特徴 ②葉間の線状陰影の偏位 ③横隔膜の拳上 ④縦隔偏位 ⑤代償性の過膨張 ⑥縦隔ヘルニア ⑦肺門陰影の偏位 ⑧肋間腔の変化 ⑨陰影中にair bronchogramはみられない(閉塞性無気肺のみ) [実際例] 小児によくみられる無気肺像
[浸潤陰影]
境界のぼんやりした陰影で細胞浸潤や浮腫などの滲出性変化を反映している陰影。陰影内部の濃度が均等なものが多いが間質に主な病変があると濃淡のある不均等な陰影になる。 [細葉性陰影と小葉性陰影]
細葉性陰影 ~7mm大 小葉性陰影 1~2.5cm大 細葉性浸潤影が両肺野にびまん性に散布しているもの。 [微細斑点状陰影]
直経数mm以下の細かな斑点が無数に撒布した陰影。 [網目状陰影]
肺の間質が肥厚してできる線状陰影が複雑に錯綜して網目様の陰影になったものをさす。 [線状・帯状・管状陰影]
線状は太さ1~2mm、帯状は3mm~2cmの幅広いものをさす。 [線状影] [帯状影] [蜂窩状陰影]
径5~10mmで壁の厚さが1~2mmの輪状陰影が入り混じって蜂の巣のような陰影になっているものをさす。 [円形陰影]
ほぼ円形を呈する孤立した陰影でその径が4cm以下のものをさす。4cm以上を塊状陰影と表現、原因疾患はほぼ同じ。 [多発結節陰影]
少なくとも径1cm以上のほぼ円形陰影が2個以上あるものをさす。 [空洞・嚢胞状陰影] [参考] ブラとブレブ [縦隔陰影] 肺感染症のレントゲン写真の見え方 [参考] 肺の音についての考え方 非連続ラ音(湿性ラ音)の発生部位(総合臨床.29,1980.)
疾患として気管支炎・細気管支炎・肺炎などの罹患を考える。 連続性ラ音(乾性ラ音)と代表的疾患(総合臨床.29,1980.)
疾患として気管支喘息・肺気腫などを考える。 マイコプラズマやクラミジア肺炎では間質性の変化のみの場合、胸部のラ音とくに湿性ラ音が聞かれず正常呼吸音のことの方が普通である。
呼吸音発生機序


































































































































































































