外来でよくみられる肺炎、マイコ・クラミジア・肺炎球菌・ウイルス(RSウイルス・hMPV・インフルエンザウイルスA・B)について実際に経験、外来で治癒した症例を提示します。軽症な変化のものが大多数ですが中には重症なものも紛れていて、注意が必要になります。
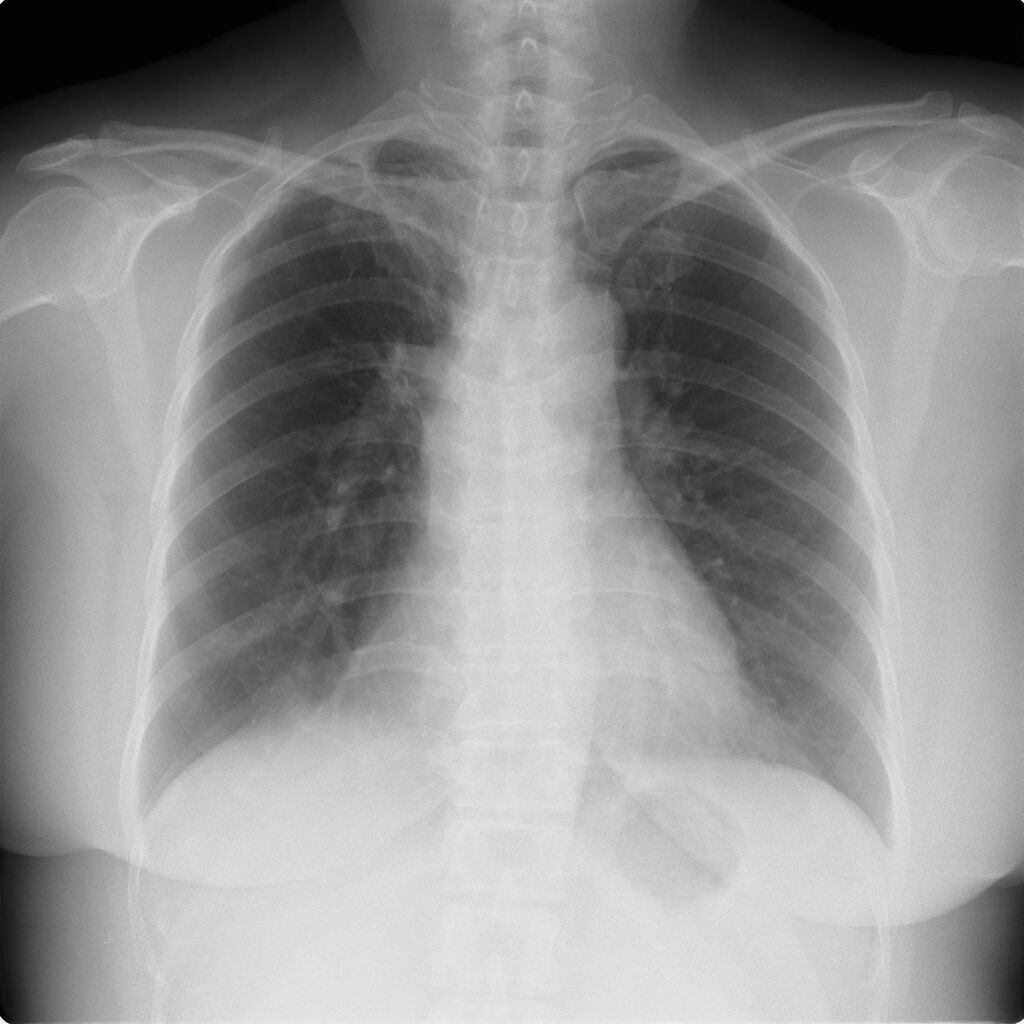
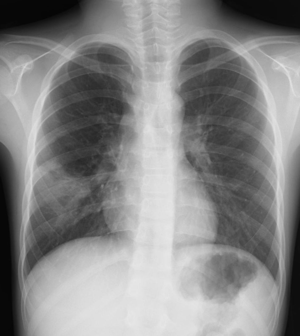
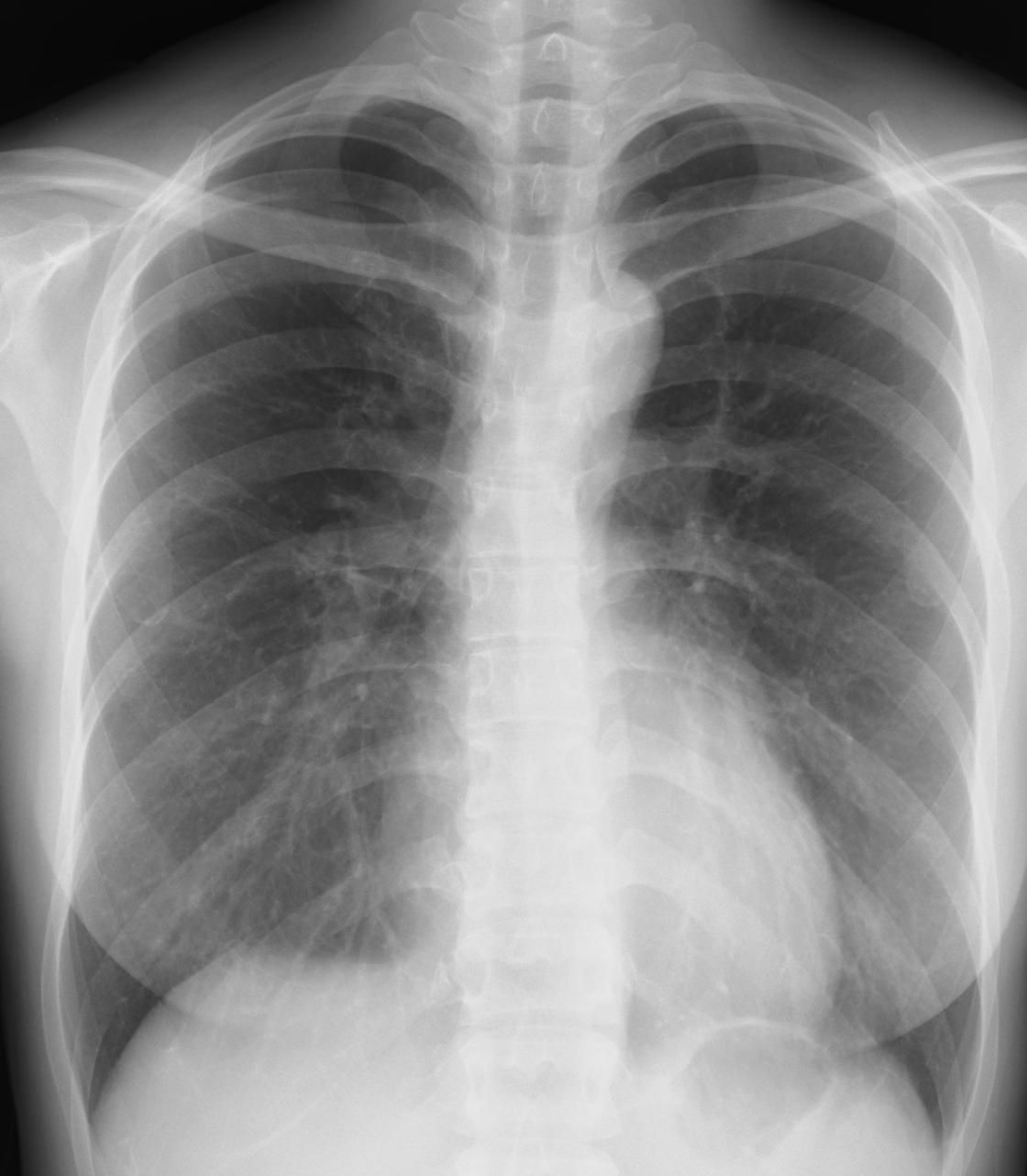
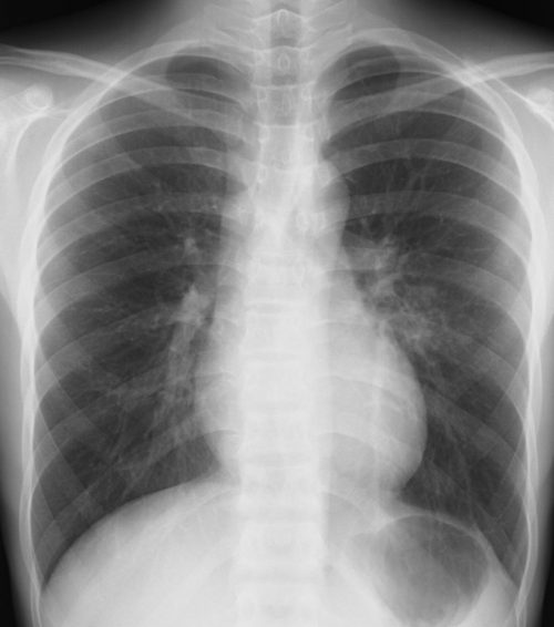
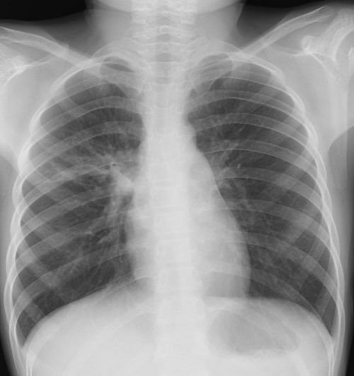
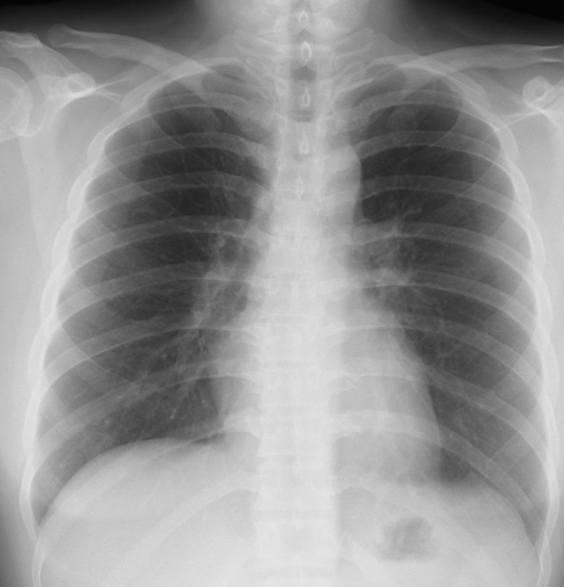
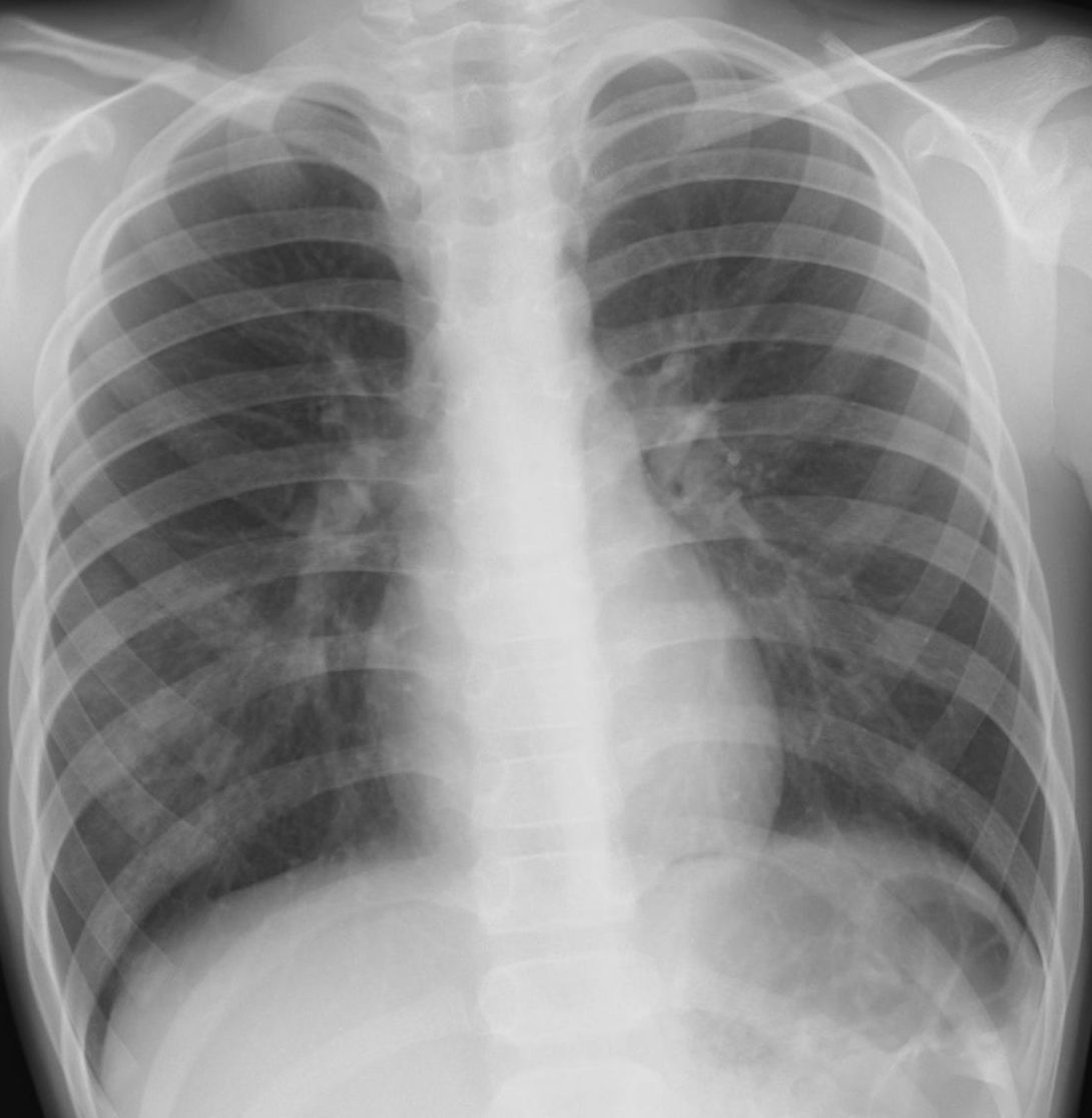
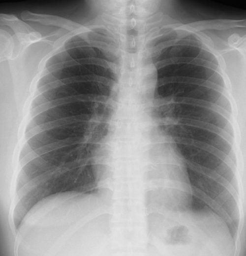
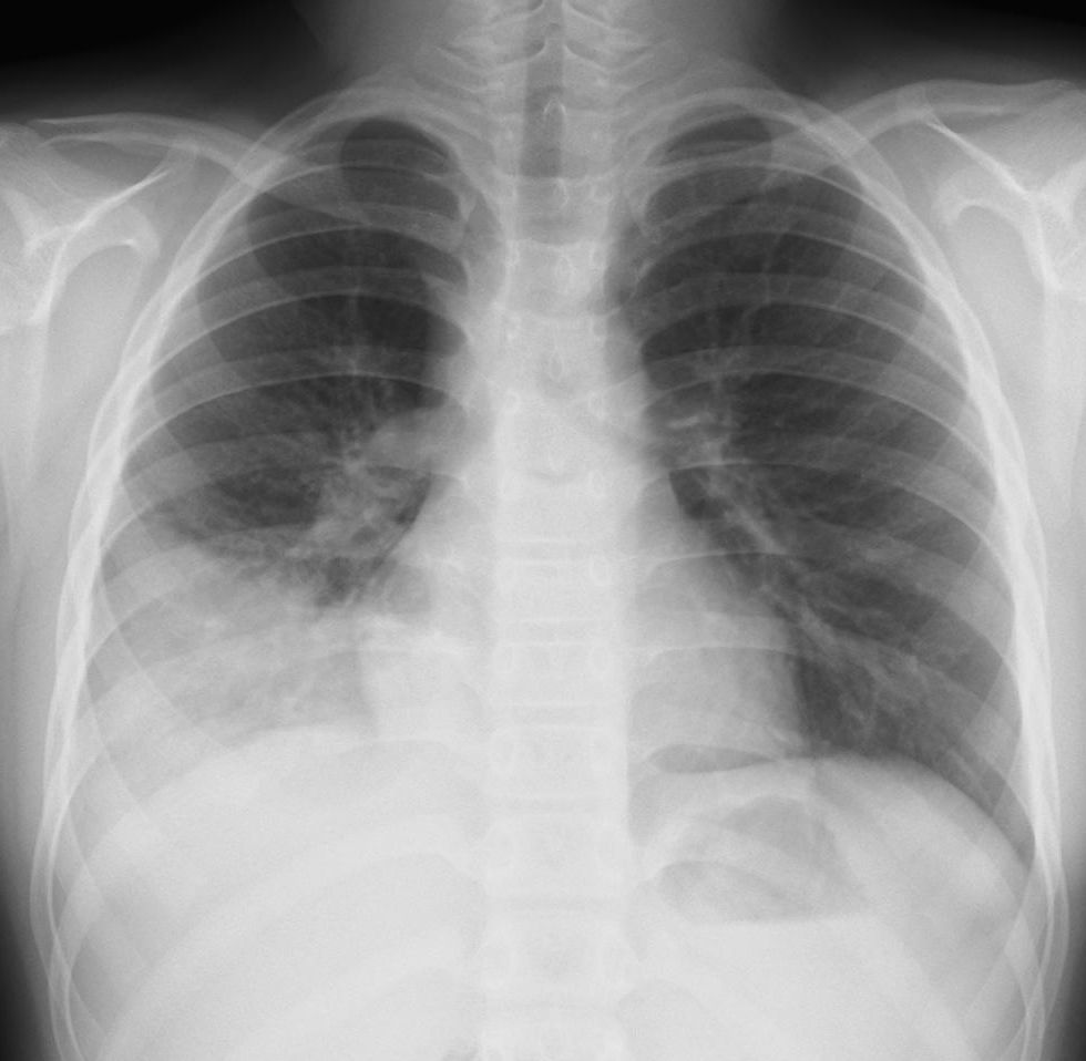
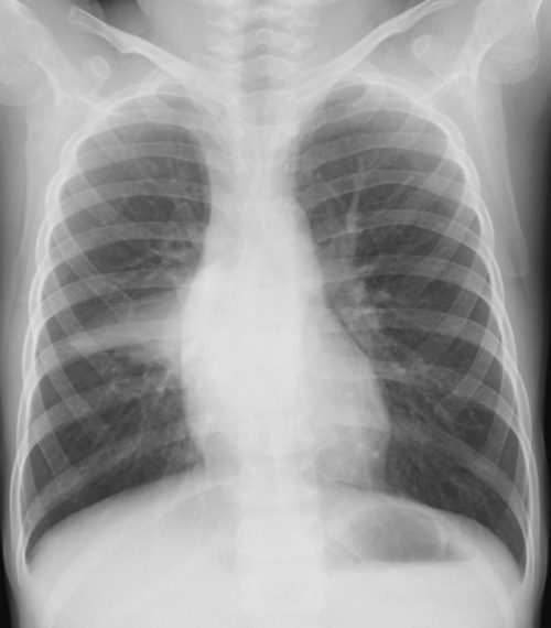
【マイコプラズマ肺炎】








胸部写真の読み方
外来でよくみられる肺炎、マイコ・クラミジア・肺炎球菌・ウイルス(RSウイルス・hMPV・インフルエンザウイルスA・B)について実際に経験、外来で治癒した症例を提示します。軽症な変化のものが大多数ですが中には重症なものも紛れていて、注意が必要になります。
【マイコプラズマ肺炎】







